电话:
+86 (0512) 65829739
传真:
+86 (010) 6788 5057
电子邮件:
orders@antibodies-online.cn

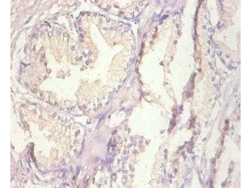
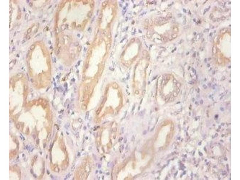
MT1A 抗体 (AA 1-59)

The 兔 多克隆 anti-MT1A antibody is suitable to detect MT1A in samples from 人. It has been validated for ELISA 和 IHC.
产品编号 ABIN7159509
发货至: 中国
Contact our Customer Service for availability and price in your country. Contact Info

Our Local Distributor

中国
北京 101111
No. 88 KeChuang 6th Street
Beijing Economic Technological Development Area
Room 801-803
4A Biotech Co.,Ltd.
Tel +86 (0512) 65829739 传真 +86 (010) 6788 5057

Quick Overview for MT1A 抗体 (AA 1-59) (ABIN7159509)

抗原

See all MT1A 抗体
MT1A (Metallothionein 1A (MT1A))

适用

  • 7
  • 1
  • 1

宿主

  • 8
  • 1

克隆类型

  • 9
多克隆

标记

  • 3
  • 2
  • 2
  • 2
This MT1A antibody is un-conjugated

应用范围

  • 6
  • 5
  • 1
ELISA, Immunohistochemistry (IHC)
  • 抗原表位

    • 4
    • 1
    AA 1-59

    原理

    MT1A Antibody

    纯化方法

    Protein G purified

    纯度

    >95 %

    免疫原

    Recombinant Human Metallothionein-1A protein (1-59AA)

    亚型

    IgG
  • 应用备注

    Optimal working dilution should be determined by the investigator.

    限制

    仅限研究用
  • 状态

    Liquid

    缓冲液

    Preservative: 0.03 % Proclin 300
    Constituents: 50 % Glycerol, 0.01M PBS, PH 7.4

    储存液

    ProClin

    注意事项

    This product contains ProClin: a POISONOUS AND HAZARDOUS SUBSTANCE which should be handled by trained staff only.

    储存条件

    -20 °C,-80 °C

    储存方法

    Upon receipt, store at -20°C or -80°C. Avoid repeated freeze.
  • 抗原

    MT1A (Metallothionein 1A (MT1A))

    别名

    MT1A

    背景

    Background: Metallothioneins have a high content of cysteine residues that bind various heavy metals, these proteins are transcriptionally regulated by both heavy metals and glucocorticoids.

    Aliases: CES 1 antibody, CES1 antibody, Metallothionein 1A antibody, Metallothionein 1S antibody, Metallothionein 2 antibody, Metallothionein 2A antibody, Metallothionein IA antibody, Metallothionein II antibody, Metallothionein-1A antibody, Metallothionein-IA antibody, Metallothionein2 antibody, MGC32848 antibody, MT 1A antibody, MT 2 antibody, MT 2A antibody, MT IA antibody, MT II antibody, MT-1A antibody, MT-IA antibody, MT1 antibody, MT1A antibody, MT1A_HUMAN antibody, MT1S antibody, MT2 antibody, MT2A antibody, MTC antibody

    UniProt

    P04731
You are here: