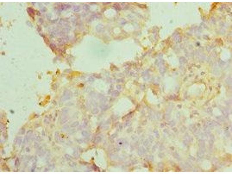
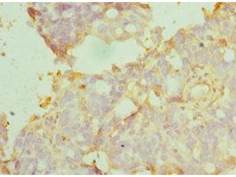
MANF 抗体 (AA 25-182)
Our Local Distributor
北京 101111
Quick Overview for MANF 抗体 (AA 25-182) (ABIN7159417)
抗原
See all MANF 抗体适用
宿主
克隆类型
标记
应用范围
-
-
抗原表位
- AA 25-182
-
原理
- MANF Antibody
-
纯化方法
- Antigen Affinity Purified
-
免疫原
- Recombinant Human Mesencephalic astrocyte-derived neurotrophic factor protein (25-182AA)
-
亚型
- IgG
-
-
-
-
应用备注
- Optimal working dilution should be determined by the investigator.
-
限制
- 仅限研究用
-
-
-
状态
- Liquid
-
缓冲液
- PBS with 0.02 % sodium azide, 50 % glycerol, pH 7.3.
-
储存液
- Sodium azide
-
注意事项
- This product contains Sodium azide: a POISONOUS AND HAZARDOUS SUBSTANCE which should be handled by trained staff only.
-
储存条件
- -20 °C,-80 °C
-
储存方法
- Upon receipt, store at -20°C or -80°C. Avoid repeated freeze.
-
-
- MANF (Mesencephalic Astrocyte-Derived Neurotrophic Factor (MANF))
-
别名
- MANF
-
背景
-
Background: Selectively promotes the survival of dopaminergic neurons of the ventral mid-brain. Modulates GABAergic transmission to the dopaminergic neurons of the substantia nigra. Enhances spontaneous, as well as evoked, GABAergic inhibitory postsynaptic currents in dopaminergic neurons (By similarity). Inhibits cell proliferation and endoplasmic reticulum (ER) stress-induced cell death.
Aliases: Arginine rich mutated in early stage tumors antibody, Arginine rich protein antibody, Arginine-rich protein antibody, ARMET antibody, ARMET protein antibody, ARP antibody, Manf antibody, MANF_HUMAN antibody, Mesencephalic astrocyte derived neurotrophic factor antibody, Mesencephalic astrocyte-derived neurotrophic factor antibody, MGC142148 antibody, MGC142150 antibody, Protein ARMET antibody
-
UniProt
- P55145
抗原
-