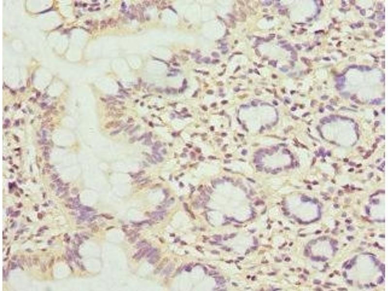
MBTPS1 抗体 (AA 803-1052)
Our Local Distributor
北京 101111
Quick Overview for MBTPS1 抗体 (AA 803-1052) (ABIN7159380)
抗原
See all MBTPS1 抗体适用
宿主
克隆类型
标记
应用范围
-
-
抗原表位
- AA 803-1052
-
原理
- MBTPS1 Antibody
-
纯化方法
- Antigen Affinity Purified
-
免疫原
- Recombinant Human Membrane-bound transcription factor site-1 protease protein (803-1052AA)
-
亚型
- IgG
-
-
-
-
应用备注
- Optimal working dilution should be determined by the investigator.
-
限制
- 仅限研究用
-
-
-
状态
- Liquid
-
缓冲液
- PBS with 0.02 % sodium azide, 50 % glycerol, pH 7.3.
-
储存液
- Sodium azide
-
注意事项
- This product contains Sodium azide: a POISONOUS AND HAZARDOUS SUBSTANCE which should be handled by trained staff only.
-
储存条件
- -20 °C,-80 °C
-
储存方法
- Upon receipt, store at -20°C or -80°C. Avoid repeated freeze.
-
-
- MBTPS1 (Membrane-Bound Transcription Factor Peptidase, Site 1 (MBTPS1))
-
别名
- MBTPS1
-
背景
-
Background: Serine protease that catalyzes the first step in the proteolytic activation of the sterol regulatory element-binding proteins (SREBPs). Other known substrates are BDNF, GNPTAB and ATF6. Cleaves after hydrophobic or small residues, provided that Arg or Lys is in position P4. Cleaves known substrates after Arg-Ser-Val-Leu (SERBP-2), Arg-His-Leu-Leu (ATF6), Arg-Gly-Leu-Thr (BDNF) and its own propeptide after Arg-Arg-Leu-Leu. Mediates the protein cleavage of GNPTAB into subunit alpha and beta, thereby participating in biogenesis of lysosomes.
Aliases: MBTPS1 antibody, KIAA0091 antibody, S1P antibody, SKI1Membrane-bound transcription factor site-1 protease antibody, EC 3.4.21.112 antibody, Endopeptidase S1P antibody, Subtilisin/kexin-isozyme 1 antibody, SKI-1 antibody
-
UniProt
- Q14703
-
途径
- ER-Nucleus Signaling
抗原
-