电话:
+86 (0512) 65829739
传真:
+86 (010) 6788 5057
电子邮件:
orders@antibodies-online.cn

MAGEC2 抗体 (AA 1-150)

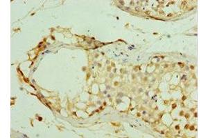
This 兔 多克隆 antibody specifically detects MAGEC2 in ELISA 和 IHC. It exhibits reactivity toward 人.
产品编号 ABIN7159289
发货至: 中国
Contact our Customer Service for availability and price in your country. Contact Info

Our Local Distributor

中国
北京 101111
No. 88 KeChuang 6th Street
Beijing Economic Technological Development Area
Room 801-803
4A Biotech Co.,Ltd.
Tel +86 (0512) 65829739 传真 +86 (010) 6788 5057

Quick Overview for MAGEC2 抗体 (AA 1-150) (ABIN7159289)

抗原

See all MAGEC2 抗体
MAGEC2 (Melanoma Antigen Family C, 2 (MAGEC2))

适用

  • 31
  • 11
  • 2

宿主

  • 29
  • 2

克隆类型

  • 20
  • 11
多克隆

标记

  • 15
  • 2
  • 2
  • 2
  • 2
  • 2
  • 2
  • 2
  • 1
  • 1
This MAGEC2 antibody is un-conjugated

应用范围

  • 22
  • 12
  • 10
  • 5
  • 2
  • 1
  • 1
ELISA, Immunohistochemistry (IHC)
  • 抗原表位

    • 2
    • 1
    • 1
    • 1
    • 1
    • 1
    • 1
    • 1
    • 1
    AA 1-150

    原理

    MAGEC2 Antibody

    纯化方法

    Antigen Affinity Purified

    免疫原

    Recombinant Human Melanoma-associated antigen C2 protein (1-150AA)

    亚型

    IgG
  • 应用备注

    Optimal working dilution should be determined by the investigator.

    限制

    仅限研究用
  • 状态

    Liquid

    缓冲液

    PBS with 0.02 % sodium azide, 50 % glycerol, pH 7.3.

    储存液

    Sodium azide

    注意事项

    This product contains Sodium azide: a POISONOUS AND HAZARDOUS SUBSTANCE which should be handled by trained staff only.

    储存条件

    -20 °C,-80 °C

    储存方法

    Upon receipt, store at -20°C or -80°C. Avoid repeated freeze.
  • 抗原

    MAGEC2 (Melanoma Antigen Family C, 2 (MAGEC2))

    别名

    MAGEC2

    背景

    Background: Proposed to enhance ubiquitin ligase activity of RING-type zinc finger-containing E3 ubiquitin-protein ligases. In vitro enhances ubiquitin ligase activity of TRIM28 and stimulates p53/TP53 ubiquitination in presence of Ubl-conjugating enzyme UBE2H leading to p53/TP53 degradation. Proposed to act through recruitment and/or stabilization of the Ubl-conjugating enzymes (E2) at the E3:substrate complex.

    Aliases: Cancer testis antigen 10 antibody, Cancer/testis antigen 10 antibody, CT10 antibody, HCA587 antibody, Hepatocellular cancer antigen 587 antibody, Hepatocellular carcinoma associated antigen 587 antibody, Hepatocellular carcinoma-associated antigen 587 antibody, MAGC2_HUMAN antibody, MAGE C2 antigen antibody, MAGE E1 antigen antibody, MAGE family member C2 antibody, MAGE-C2 antigen antibody, MAGE-E1 antigen antibody, MAGEC2 antibody, Melanoma antigen family C 2 antibody, Melanoma antigen family C2 antibody, Melanoma antigen family E 1 cancer/testis specific antibody, Melanoma associated antigen C2 antibody, Melanoma-associated antigen C2 antibody, MGC13377 antibody

    UniProt

    Q9UBF1
You are here: