电话:
+86 (0512) 65829739
传真:
+86 (010) 6788 5057
电子邮件:
orders@antibodies-online.cn

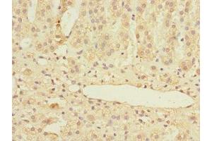
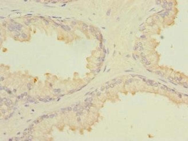
MARCKSL1 抗体 (AA 1-195)

The 兔 多克隆 anti-MARCKSL1 antibody is suitable to detect MARCKSL1 in samples from 人. It has been validated for ELISA 和 IHC.
产品编号 ABIN7159008
发货至: 中国
Contact our Customer Service for availability and price in your country. Contact Info

Our Local Distributor

中国
北京 101111
No. 88 KeChuang 6th Street
Beijing Economic Technological Development Area
Room 801-803
4A Biotech Co.,Ltd.
Tel +86 (0512) 65829739 传真 +86 (010) 6788 5057

Quick Overview for MARCKSL1 抗体 (AA 1-195) (ABIN7159008)

抗原

See all MARCKSL1 抗体
MARCKSL1 (MARCKS-Like 1 (MARCKSL1))

适用

  • 19
  • 5
  • 4
  • 2
  • 2
  • 2
  • 2
  • 1
  • 1

宿主

  • 16
  • 3

克隆类型

  • 16
  • 3
多克隆

标记

  • 14
  • 1
  • 1
  • 1
  • 1
  • 1
This MARCKSL1 antibody is un-conjugated

应用范围

  • 18
  • 10
  • 3
  • 2
  • 2
  • 1
  • 1
  • 1
  • 1
ELISA, Immunohistochemistry (IHC)
  • 抗原表位

    • 8
    • 5
    • 2
    • 1
    • 1
    • 1
    • 1
    AA 1-195

    原理

    MARCKSL1 Antibody

    纯化方法

    Antigen Affinity Purified

    免疫原

    Recombinant Human MARCKS-related protein (1-195AA)

    亚型

    IgG
  • 应用备注

    Optimal working dilution should be determined by the investigator.

    限制

    仅限研究用
  • 状态

    Liquid

    缓冲液

    PBS with 0.02 % sodium azide, 50 % glycerol, pH 7.3.

    储存液

    Sodium azide

    注意事项

    This product contains Sodium azide: a POISONOUS AND HAZARDOUS SUBSTANCE which should be handled by trained staff only.

    储存条件

    -20 °C,-80 °C

    储存方法

    Upon receipt, store at -20°C or -80°C. Avoid repeated freeze.
  • 抗原

    MARCKSL1 (MARCKS-Like 1 (MARCKSL1))

    别名

    MARCKSL1

    背景

    Background: Controls cell movement by regulating actin cytoskeleton homeostasis and filopodium and lamellipodium formation. When unphosphorylated, induces cell migration. When phosphorylated by MAPK8, induces actin bundles formation and stabilization, thereby reducing actin plasticity, hence restricting cell movement, including neuronal migration. May also affect cancer cell migration. May be involved in coupling the protein kinase C and calmodulin signal transduction systems (By similarity).

    Aliases: F52 antibody, Mac MARCKS antibody, Mac-MARCKS antibody, MacMARCKS antibody, Macrophage enriched Myristoylated Alanine Rich C Kinase Substrate Like Protein antibody, Macrophage myristoylated alanine-rich C kinase substrate antibody, MARCKS like 1 antibody, MARCKS like protein 1 antibody, MARCKS related protein antibody, MARCKS-like protein 1 antibody, MARCKS-related protein antibody, MARCKSL1 antibody, MLP antibody, MLP1 antibody, MRP antibody, MRP_HUMAN antibody

    UniProt

    P49006
You are here: