电话:
+86 (0512) 65829739
传真:
+86 (010) 6788 5057
电子邮件:
orders@antibodies-online.cn

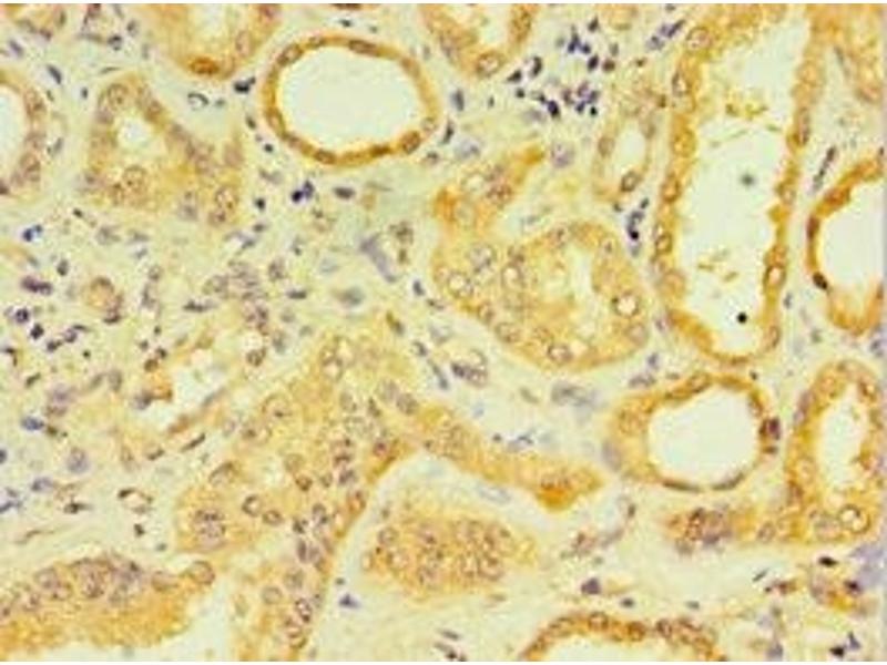
DCP2 抗体 (AA 1-240)

The 兔 多克隆 anti-DCP2 antibody is suitable to detect DCP2 in samples from 人. It has been validated for WB, ELISA 和 IHC.
产品编号 ABIN7158861
发货至: 中国
Contact our Customer Service for availability and price in your country. Contact Info

Our Local Distributor

中国
北京 101111
No. 88 KeChuang 6th Street
Beijing Economic Technological Development Area
Room 801-803
4A Biotech Co.,Ltd.
Tel +86 (0512) 65829739 传真 +86 (010) 6788 5057

Quick Overview for DCP2 抗体 (AA 1-240) (ABIN7158861)

抗原

See all DCP2 抗体
DCP2 (DCP2 Decapping Enzyme Homolog (DCP2))

适用

  • 36
  • 7
  • 6
  • 5
  • 4
  • 4
  • 4
  • 3
  • 2
  • 2
  • 1
  • 1

宿主

  • 33
  • 4

克隆类型

  • 35
  • 2
多克隆

标记

  • 22
  • 3
  • 2
  • 2
  • 1
  • 1
  • 1
  • 1
  • 1
  • 1
  • 1
  • 1
This DCP2 antibody is un-conjugated

应用范围

  • 23
  • 14
  • 11
  • 11
  • 7
  • 4
  • 2
  • 2
  • 1
  • 1
Western Blotting (WB), ELISA, Immunohistochemistry (IHC)
  • 抗原表位

    • 7
    • 7
    • 4
    • 2
    • 2
    • 2
    • 2
    • 1
    • 1
    • 1
    • 1
    AA 1-240

    原理

    DCP2 Antibody

    纯化方法

    Antigen Affinity Purified

    免疫原

    Recombinant Human m7GpppN-mRNA hydrolase protein (1-240AA)

    亚型

    IgG
  • 应用备注

    Optimal working dilution should be determined by the investigator.

    限制

    仅限研究用
  • 状态

    Liquid

    缓冲液

    PBS with 0.02 % sodium azide, 50 % glycerol, pH 7.3.

    储存液

    Sodium azide

    注意事项

    This product contains Sodium azide: a POISONOUS AND HAZARDOUS SUBSTANCE which should be handled by trained staff only.

    储存条件

    -20 °C,-80 °C

    储存方法

    Upon receipt, store at -20°C or -80°C. Avoid repeated freeze.
  • 抗原

    DCP2 (DCP2 Decapping Enzyme Homolog (DCP2))

    别名

    DCP2

    背景

    Background: Decapping metalloenzyme that catalyzes the cleavage of the cap structure on mRNAs. Removes the 7-methyl guanine cap structure from mRNA molecules, yielding a 5\\\'-phosphorylated mRNA fragment and 7m-GDP. Necessary for the degradation of mRNAs, both in normal mRNA turnover and in nonsense-mediated mRNA decay. Plays a role in replication-dependent histone mRNA degradation. Has higher activity towards mRNAs that lack a poly(A) tail. Has no activity towards a cap structure lacking an RNA moiety.

    Aliases: DCP2 antibody, DCP2 decapping enzyme homolog (S. cerevisiae) antibody, DCP2, S. cerevisiae, homolog of antibody, DCP2_HUMAN antibody, decapping enzyme 2, S. cerevisiae, homolog of antibody, decapping enzyme homolog (S. cerevisiae) antibody, FLJ33245 antibody, hDpc antibody, m7GpppN-mRNA hydrolase antibody, mRNA decapping enzyme 2 antibody, mRNA-decapping enzyme 2 antibody, Nucleoside diphosphate-linked moiety X motif 20 antibody, nudix (nucleoside diphosphate linked moiety X)-type motif 20 antibody, Nudix motif 20 antibody, NUDT20 antibody

    UniProt

    Q8IU60
You are here: