电话:
+86 (0512) 65829739
传真:
+86 (010) 6788 5057
电子邮件:
orders@antibodies-online.cn

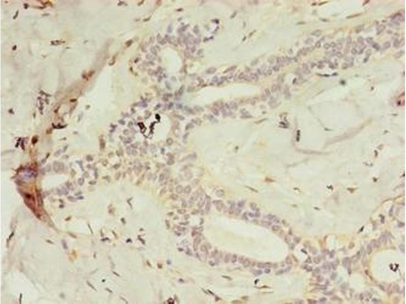
m-AAA Protease-Interacting Protein 1, Mitochondrial (MAIP1) (AA 97-291) 抗体

This 兔 多克隆 antibody specifically detects m-AAA Protease-Interacting Protein 1, Mitochondrial in ELISA, IHC 和 WB. It exhibits reactivity toward 人.
产品编号 ABIN7158845
发货至: 中国
Contact our Customer Service for availability and price in your country. Contact Info

Our Local Distributor

中国
北京 101111
No. 88 KeChuang 6th Street
Beijing Economic Technological Development Area
Room 801-803
4A Biotech Co.,Ltd.
Tel +86 (0512) 65829739 传真 +86 (010) 6788 5057

Quick Overview for m-AAA Protease-Interacting Protein 1, Mitochondrial (MAIP1) (AA 97-291) 抗体 (ABIN7158845)

抗原

m-AAA Protease-Interacting Protein 1, Mitochondrial (MAIP1)

适用

  • 4
  • 1

宿主

  • 4

克隆类型

  • 4
多克隆

标记

  • 1
  • 1
  • 1
  • 1
非结合性

应用范围

ELISA, Immunohistochemistry (IHC), Western Blotting (WB)
  • 抗原表位

    AA 97-291

    原理

    MAIP1 Antibody

    交叉反应

    小鼠

    纯化方法

    Protein G purified

    纯度

    >95 %

    免疫原

    Recombinant Human m-AAA protease-interacting protein 1, mitochondrial protein (97-291AA)

    亚型

    IgG
  • 应用备注

    Optimal working dilution should be determined by the investigator.

    限制

    仅限研究用
  • 状态

    Liquid

    缓冲液

    Preservative: 0.03 % Proclin 300
    Constituents: 50 % Glycerol, 0.01M PBS, PH 7.4

    储存液

    ProClin

    注意事项

    This product contains ProClin: a POISONOUS AND HAZARDOUS SUBSTANCE which should be handled by trained staff only.

    储存条件

    -20 °C,-80 °C

    储存方法

    Upon receipt, store at -20°C or -80°C. Avoid repeated freeze.
  • 抗原

    m-AAA Protease-Interacting Protein 1, Mitochondrial (MAIP1)

    别名

    MAIP1

    背景

    C2orf47 antibody, C2orf47, mitochondrial antibody, CB047_HUMAN antibody, Chromosome 2 open reading frame 47 antibody, Hhypothetical protein LOC79568 antibody, m AAA protease interacting protein 1, mitochondrial, uncharacterized protein antibody, Matrix AAA peptidase interacting protein 1 antibody, mitochondrial antibody, Uncharacterized protein C2orf47 antibody, Uncharacterized protein C2orf47, mitochondrial antibody

    UniProt

    Q8WWC4
You are here: