电话:
+86 (0512) 65829739
传真:
+86 (010) 6788 5057
电子邮件:
orders@antibodies-online.cn

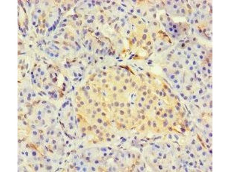
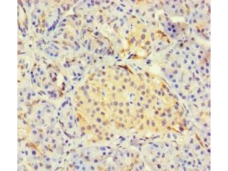
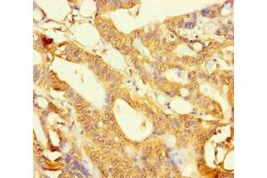
LYG2 抗体 (AA 20-212)

This 兔 多克隆 antibody specifically detects LYG2 in ELISA 和 IHC. It exhibits reactivity toward 人.
产品编号 ABIN7158821
发货至: 中国
Contact our Customer Service for availability and price in your country. Contact Info

Our Local Distributor

中国
北京 101111
No. 88 KeChuang 6th Street
Beijing Economic Technological Development Area
Room 801-803
4A Biotech Co.,Ltd.
Tel +86 (0512) 65829739 传真 +86 (010) 6788 5057

Quick Overview for LYG2 抗体 (AA 20-212) (ABIN7158821)

抗原

LYG2 (Lysozyme G-Like 2 (LYG2))

适用

  • 10
  • 2
  • 2
  • 2
  • 2
  • 2
  • 2
  • 1
  • 1

宿主

  • 8
  • 2

克隆类型

  • 10
多克隆

标记

  • 6
  • 2
  • 1
  • 1
This LYG2 antibody is un-conjugated

应用范围

ELISA, Immunohistochemistry (IHC)
  • 抗原表位

    • 4
    • 2
    • 1
    • 1
    • 1
    • 1
    AA 20-212

    原理

    LYG2 Antibody

    纯化方法

    Protein G purified

    纯度

    >95 %

    免疫原

    Recombinant Human Lysozyme g-like protein 2 protein (20-212AA)

    亚型

    IgG
  • 应用备注

    Optimal working dilution should be determined by the investigator.

    限制

    仅限研究用
  • 状态

    Liquid

    缓冲液

    Preservative: 0.03 % Proclin 300
    Constituents: 50 % Glycerol, 0.01M PBS, PH 7.4

    储存液

    ProClin

    注意事项

    This product contains ProClin: a POISONOUS AND HAZARDOUS SUBSTANCE which should be handled by trained staff only.

    储存条件

    -20 °C,-80 °C

    储存方法

    Upon receipt, store at -20°C or -80°C. Avoid repeated freeze.
  • 抗原

    LYG2 (Lysozyme G-Like 2 (LYG2))

    别名

    LYG2

    背景

    Background: May act as a potent antibacterial protein that may play a role in the innate immunity.

    Aliases: LYG 2 antibody, Lyg2 antibody, LYG2_HUMAN antibody, LYGH antibody, Lysozyme G like 2 antibody, Lysozyme g like protein 2 antibody, Lysozyme g-like protein 2 antibody, Lysozyme like antibody, MGC119046 antibody, MGC119047 antibody, MGC119049 antibody

    UniProt

    Q86SG7
You are here: