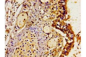
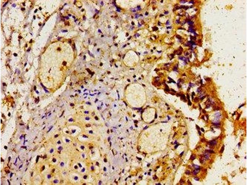
LAMP3 抗体 (AA 28-224)
Our Local Distributor
北京 101111
Quick Overview for LAMP3 抗体 (AA 28-224) (ABIN7158808)
抗原
See all LAMP3 抗体适用
宿主
克隆类型
标记
应用范围
-
-
抗原表位
- AA 28-224
-
原理
- LAMP3 Antibody
-
纯化方法
- Protein G purified
-
纯度
- >95 %
-
免疫原
- Recombinant Human Lysosome-associated membrane glycoprotein 3 protein (28-224AA)
-
亚型
- IgG
-
-
-
-
应用备注
- Optimal working dilution should be determined by the investigator.
-
限制
- 仅限研究用
-
-
-
状态
- Liquid
-
缓冲液
-
Preservative: 0.03 % Proclin 300
Constituents: 50 % Glycerol, 0.01M PBS, pH 7.4 -
储存液
- ProClin
-
注意事项
- This product contains ProClin: a POISONOUS AND HAZARDOUS SUBSTANCE which should be handled by trained staff only.
-
储存条件
- -20 °C,-80 °C
-
储存方法
- Upon receipt, store at -20°C or -80°C. Avoid repeated freeze.
-
-
- LAMP3 (Lysosomal-Associated Membrane Protein 3 (LAMP3))
-
别名
- LAMP3
-
背景
-
Background: May play a role in dendritic cell function and in adaptive immunity.
Aliases: CD208 antibody, CD208 antigen antibody, DC LAMP antibody, DC lysosome associated membrane glycoprotein antibody, DC-lysosome-associated membrane glycoprotein antibody, DCLAMP antibody, LAMP antibody, LAMP 3 antibody, LAMP-3 antibody, Lamp3 antibody, LAMP3_HUMAN antibody, Lysosomal associated membrane protein 3 antibody, Lysosomal-associated membrane protein 3 antibody, Lysosome-associated membrane glycoprotein 3 antibody, Protein TSC403 antibody, TSC403 antibody
-
UniProt
- Q9UQV4
抗原
-