电话:
+86 (0512) 65829739
传真:
+86 (010) 6788 5057
电子邮件:
orders@antibodies-online.cn

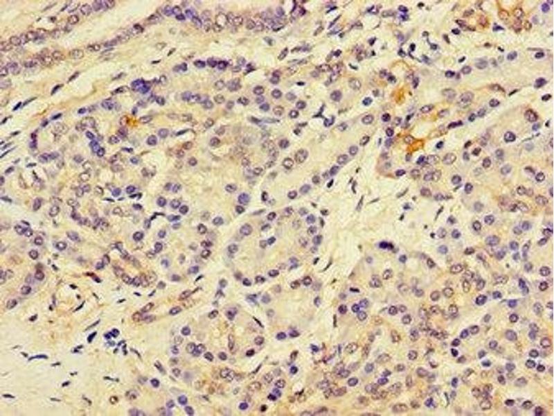
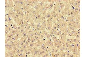
LPCAT3 抗体 (AA 306-363)

The 兔 多克隆 anti-LPCAT3 antibody (ABIN7158760) specifically detects LPCAT3 in IHC 和 ELISA. The antibody is reactive with 人 samples.
产品编号 ABIN7158760
发货至: 中国
Contact our Customer Service for availability and price in your country. Contact Info

Our Local Distributor

中国
北京 101111
No. 88 KeChuang 6th Street
Beijing Economic Technological Development Area
Room 801-803
4A Biotech Co.,Ltd.
Tel +86 (0512) 65829739 传真 +86 (010) 6788 5057

Quick Overview for LPCAT3 抗体 (AA 306-363) (ABIN7158760)

抗原

See all LPCAT3 抗体
LPCAT3 (Lysophosphatidylcholine Acyltransferase 3 (LPCAT3))

适用

  • 16
  • 4
  • 2

宿主

  • 14
  • 4

克隆类型

  • 14
  • 4
多克隆

标记

  • 7
  • 4
  • 4
  • 2
  • 1
This LPCAT3 antibody is un-conjugated

应用范围

  • 14
  • 9
  • 4
  • 4
  • 3
  • 3
  • 1
Immunohistochemistry (IHC), ELISA
  • 抗原表位

    • 5
    • 4
    • 1
    AA 306-363

    原理

    LPCAT3 Antibody

    纯化方法

    Protein G purified

    纯度

    >95 %

    免疫原

    Recombinant Human Lysophospholipid acyltransferase 5 protein (306-363AA)

    亚型

    IgG
  • 应用备注

    Optimal working dilution should be determined by the investigator.

    限制

    仅限研究用
  • 状态

    Liquid

    缓冲液

    Preservative: 0.03 % Proclin 300
    Constituents: 50 % Glycerol, 0.01M PBS, PH 7.4

    储存液

    ProClin

    注意事项

    This product contains ProClin: a POISONOUS AND HAZARDOUS SUBSTANCE which should be handled by trained staff only.

    储存条件

    -20 °C,-80 °C

    储存方法

    Upon receipt, store at -20°C or -80°C. Avoid repeated freeze.
  • 抗原

    LPCAT3 (Lysophosphatidylcholine Acyltransferase 3 (LPCAT3))

    别名

    LPCAT3

    背景

    Background: Acyltransferase which mediates the conversion of lysophosphatidylcholine (1-acyl-sn-glycero-3-phosphocholine or LPC) into phosphatidylcholine (1,2-diacyl-sn-glycero-3-phosphocholine or PC) (LPCAT activity). Catalyzes also the conversion of lysophosphatidylserine (1-acyl-2-hydroxy-sn-glycero-3-phospho-L-serine or LPS) into phosphatidylserine (1,2-diacyl-sn-glycero-3-phospho-L-serine or PS) (LPSAT activity). Has also weak lysophosphatidylethanolamine acyltransferase activity (LPEAT activity). Favors polyunsaturated fatty acyl-CoAs as acyl donors compared to saturated fatty acyl-CoAs. Seems to be the major enzyme contributing to LPCAT activity in the liver. Lysophospholipid acyltransferases (LPLATs) catalyze the reacylation step of the phospholipid remodeling pathway also known as the Lands cycle.

    Aliases: 1-acylglycerophosphocholine O-acyltransferase antibody, 1-acylglycerophosphoserine O-acyltransferase antibody, LPCAT antibody, Lpcat3 antibody, LPLAT 5 antibody, LPSAT antibody, Lyso-PC acyltransferase 3 antibody, Lyso-PC acyltransferase antibody, Lyso-PS acyltransferase antibody, Lysophosphatidylcholine acyltransferase 3 antibody, Lysophosphatidylcholine acyltransferase antibody, Lysophosphatidylserine acyltransferase antibody, Lysophospholipid acyltransferase 5 antibody, MBOA5 antibody, MBOA5_HUMAN antibody, Membrane-bound O-acyltransferase domain-containing protein 5 antibody, O-acyltransferase domain-containing protein 5 antibody

    UniProt

    Q6P1A2
You are here: