电话:
+86 (0512) 65829739
传真:
+86 (010) 6788 5057
电子邮件:
orders@antibodies-online.cn

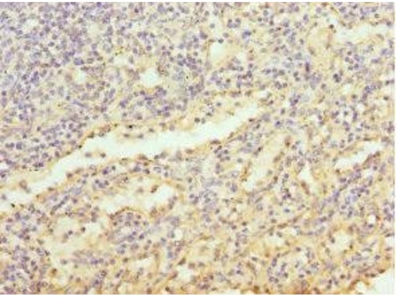
LY86 抗体 (AA 21-162)

The 兔 多克隆 anti-LY86 antibody (ABIN7158640) specifically detects LY86 in IHC 和 ELISA. The antibody is reactive with 人 samples.
产品编号 ABIN7158640
发货至: 中国
Contact our Customer Service for availability and price in your country. Contact Info

Our Local Distributor

中国
北京 101111
No. 88 KeChuang 6th Street
Beijing Economic Technological Development Area
Room 801-803
4A Biotech Co.,Ltd.
Tel +86 (0512) 65829739 传真 +86 (010) 6788 5057

Quick Overview for LY86 抗体 (AA 21-162) (ABIN7158640)

抗原

See all LY86 抗体
LY86 (Lymphocyte Antigen 86 (LY86))

适用

  • 27
  • 20
  • 17

宿主

  • 38
  • 7
  • 4

克隆类型

  • 40
  • 9
多克隆

标记

  • 23
  • 4
  • 4
  • 2
  • 2
  • 2
  • 1
  • 1
  • 1
  • 1
  • 1
  • 1
  • 1
  • 1
  • 1
  • 1
  • 1
  • 1
This LY86 antibody is un-conjugated

应用范围

  • 37
  • 14
  • 13
  • 13
  • 10
  • 10
  • 5
  • 5
  • 4
  • 3
  • 3
  • 3
  • 2
  • 1
Immunohistochemistry (IHC), ELISA
  • 抗原表位

    • 15
    • 7
    • 7
    • 3
    • 2
    • 2
    • 1
    • 1
    • 1
    • 1
    • 1
    • 1
    • 1
    AA 21-162

    原理

    LY86 Antibody

    纯化方法

    Antigen Affinity Purified

    免疫原

    Recombinant Human Lymphocyte antigen 86 protein (21-162AA)

    亚型

    IgG
  • 应用备注

    Optimal working dilution should be determined by the investigator.

    限制

    仅限研究用
  • 状态

    Liquid

    缓冲液

    PBS with 0.02 % sodium azide, 50 % glycerol, pH 7.3.

    储存液

    Sodium azide

    注意事项

    This product contains Sodium azide: a POISONOUS AND HAZARDOUS SUBSTANCE which should be handled by trained staff only.

    储存条件

    -20 °C,-80 °C

    储存方法

    Upon receipt, store at -20°C or -80°C. Avoid repeated freeze.
  • 抗原

    LY86 (Lymphocyte Antigen 86 (LY86))

    别名

    LY86

    背景

    Background: May cooperate with CD180 and TLR4 to mediate the innate immune response to bacterial lipopolysaccharide (LPS) and cytokine production. Important for efficient CD180 cell surface expression (By similarity).

    Aliases: BPAD antibody, dJ80N2.1 antibody, Ly 86 antibody, Ly-86 antibody, Ly86 antibody, LY86_HUMAN antibody, Lymphocyte antigen 86 antibody, Lymphocyte antigen 86 precursor antibody, Major affective disorder 1 antibody, MD 1 antibody, MD-1 antibody, MD1 protein antibody, MD1 RP105 associated antibody, MMD 1 antibody, MMD-1 antibody, Protein MD 1 antibody, Protein MD-1 antibody, RP1-80N2.1 antibody

    UniProt

    O95711

    途径

    Toll-Like Receptors Cascades
You are here: