电话:
+86 (0512) 65829739
传真:
+86 (010) 6788 5057
电子邮件:
orders@antibodies-online.cn

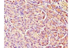
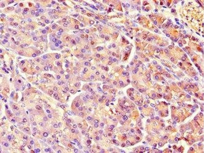
REG1A 抗体 (AA 23-166)

This 兔 多克隆 antibody specifically detects REG1A in IHC 和 ELISA. It exhibits reactivity toward 人.
产品编号 ABIN7158464
发货至: 中国
Contact our Customer Service for availability and price in your country. Contact Info

Our Local Distributor

中国
北京 101111
No. 88 KeChuang 6th Street
Beijing Economic Technological Development Area
Room 801-803
4A Biotech Co.,Ltd.
Tel +86 (0512) 65829739 传真 +86 (010) 6788 5057

Quick Overview for REG1A 抗体 (AA 23-166) (ABIN7158464)

抗原

See all REG1A 抗体
REG1A (Regenerating Islet-Derived 1 alpha (REG1A))

适用

  • 49
  • 5
  • 3
  • 1

宿主

  • 41
  • 10
  • 2

克隆类型

  • 43
  • 10
多克隆

标记

  • 23
  • 5
  • 5
  • 2
  • 1
  • 1
  • 1
  • 1
  • 1
  • 1
  • 1
  • 1
  • 1
  • 1
  • 1
  • 1
  • 1
  • 1
  • 1
  • 1
  • 1
  • 1
This REG1A antibody is un-conjugated

应用范围

  • 38
  • 16
  • 15
  • 13
  • 13
  • 8
  • 7
  • 3
  • 3
  • 3
  • 2
  • 2
Immunohistochemistry (IHC), ELISA
  • 抗原表位

    • 15
    • 6
    • 6
    • 2
    • 2
    • 2
    • 1
    • 1
    • 1
    AA 23-166

    原理

    REG1A Antibody

    纯化方法

    Protein G purified

    纯度

    >95 %

    免疫原

    Recombinant Human Lithostathine-1-alpha protein (23-166AA)

    亚型

    IgG
  • 应用备注

    Optimal working dilution should be determined by the investigator.

    限制

    仅限研究用
  • 状态

    Liquid

    缓冲液

    Preservative: 0.03 % Proclin 300
    Constituents: 50 % Glycerol, 0.01M PBS, PH 7.4

    储存液

    ProClin

    注意事项

    This product contains ProClin: a POISONOUS AND HAZARDOUS SUBSTANCE which should be handled by trained staff only.

    储存条件

    -20 °C,-80 °C

    储存方法

    Upon receipt, store at -20°C or -80°C. Avoid repeated freeze.
  • 抗原

    REG1A (Regenerating Islet-Derived 1 alpha (REG1A))

    别名

    REG1A

    背景

    Background: Might act as an inhibitor of spontaneous calcium carbonate precipitation. May be associated with neuronal sprouting in brain, and with brain and pancreas regeneration.

    Aliases: ICRF antibody, Islet cells regeneration factor antibody, Islet of Langerhans regenerating protein antibody, Lithostathine 1 alpha antibody, Lithostathine 1 alpha precursor antibody, Lithostathine antibody, Lithostathine-1-alpha antibody, MGC12447 antibody, P19 antibody, Pancreatic stone protein antibody, Pancreatic stone protein secretory antibody, Pancreatic thread protein antibody, Protein X antibody, PSP antibody, PSPS antibody, PSPS1 antibody, PTP antibody, RATRGPI antibody, REG antibody, REG-1-alpha antibody, Reg1 antibody, REG1A antibody, REG1A_HUMAN antibody, Regenerating islet derived 1 alpha antibody, Regenerating islet derived 1 alpha pancreatic stone protein pancreatic thread protein antibody, Regenerating islet-derived protein 1-alpha antibody, Regenerating protein I alpha antibody

    UniProt

    P05451
You are here: