电话:
+86 (0512) 65829739
传真:
+86 (010) 6788 5057
电子邮件:
orders@antibodies-online.cn

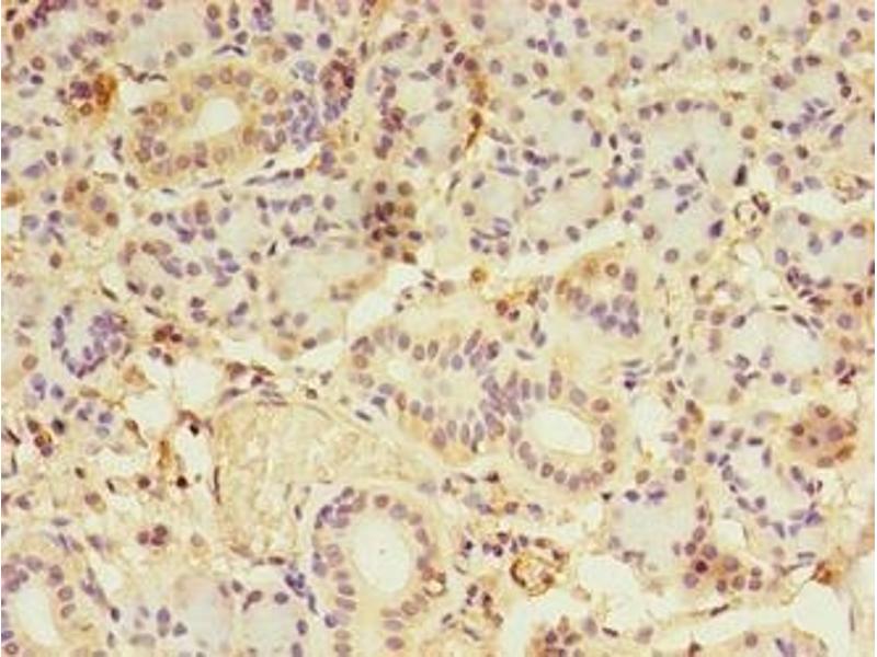
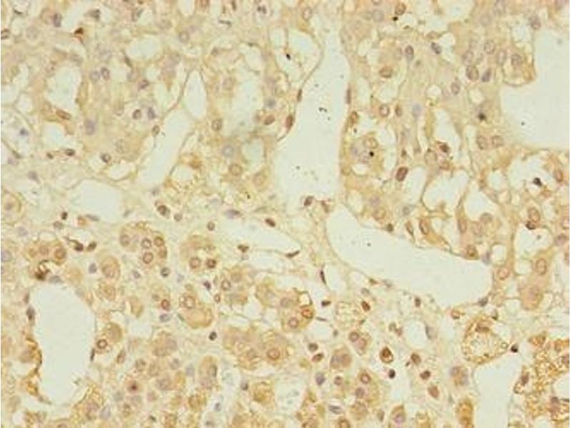
LDAH/C2orf43 抗体 (AA 1-325)

The 兔 多克隆 anti-LDAH/C2orf43 antibody is suitable to detect LDAH/C2orf43 in samples from 人. It has been validated for WB, ELISA 和 IHC.
产品编号 ABIN7158414
发货至: 中国
Contact our Customer Service for availability and price in your country. Contact Info

Our Local Distributor

中国
北京 101111
No. 88 KeChuang 6th Street
Beijing Economic Technological Development Area
Room 801-803
4A Biotech Co.,Ltd.
Tel +86 (0512) 65829739 传真 +86 (010) 6788 5057

Quick Overview for LDAH/C2orf43 抗体 (AA 1-325) (ABIN7158414)

抗原

See all LDAH/C2orf43 (LDAH) 抗体
LDAH/C2orf43 (LDAH) (Lipid Droplet-Associated Hydrolase (LDAH))

适用

  • 32
  • 17
  • 17
  • 2
  • 2
  • 2
  • 2
  • 1
  • 1
  • 1

宿主

  • 29
  • 3

克隆类型

  • 31
  • 1
多克隆

标记

  • 8
  • 3
  • 2
  • 2
  • 1
  • 1
  • 1
  • 1
  • 1
  • 1
  • 1
  • 1
  • 1
  • 1
  • 1
  • 1
  • 1
  • 1
  • 1
  • 1
  • 1
This LDAH/C2orf43 antibody is un-conjugated

应用范围

  • 22
  • 13
  • 5
  • 3
  • 3
  • 2
Western Blotting (WB), ELISA, Immunohistochemistry (IHC)
  • 抗原表位

    • 6
    • 1
    • 1
    • 1
    AA 1-325

    原理

    LDAH Antibody

    纯化方法

    Antigen Affinity Purified

    免疫原

    Recombinant Human Lipid droplet-associated hydrolase protein (1-325AA)

    亚型

    IgG
  • 应用备注

    Optimal working dilution should be determined by the investigator.

    限制

    仅限研究用
  • 状态

    Liquid

    缓冲液

    Preservative: 0.03 % Proclin 300
    Constituents: 50 % Glycerol, 0.01M PBS, PH 7.4

    储存液

    ProClin

    注意事项

    This product contains ProClin: a POISONOUS AND HAZARDOUS SUBSTANCE which should be handled by trained staff only.

    储存条件

    -20 °C,-80 °C

    储存方法

    Upon receipt, store at -20°C or -80°C. Avoid repeated freeze.
  • 抗原

    LDAH/C2orf43 (LDAH) (Lipid Droplet-Associated Hydrolase (LDAH))

    别名

    LDAH

    背景

    Background: Serine lipid hydrolase associated with lipid droplets. Highly expressed in macrophage-rich areas in atherosclerotic lesions, suggesting that it could promote cholesterol ester turnover in macrophages.

    Aliases: C2orf43 antibody, CB043_HUMAN antibody, Chromosome 2 open reading frame 43 antibody, FLJ21820 antibody, Hypothetical protein LOC60526 antibody, UPF0554 protein C2orf43 antibody

    UniProt

    Q9H6V9
You are here: