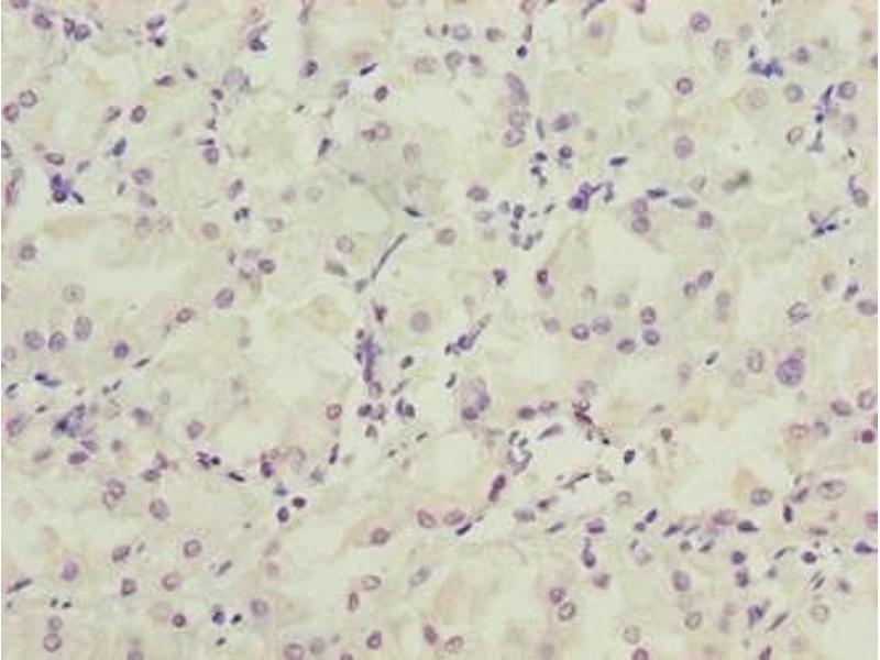
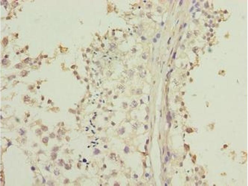
LRRC20 抗体 (AA 1-184)
Our Local Distributor
北京 101111
Quick Overview for LRRC20 抗体 (AA 1-184) (ABIN7158154)
抗原
适用
宿主
克隆类型
标记
应用范围
-
-
抗原表位
- AA 1-184
-
原理
- LRRC20 Antibody
-
交叉反应
- 小鼠
-
纯化方法
- Antigen Affinity Purified
-
免疫原
- Recombinant Human Leucine-rich repeat-containing protein 20 protein (1-184AA)
-
亚型
- IgG
-
-
-
-
应用备注
- Optimal working dilution should be determined by the investigator.
-
限制
- 仅限研究用
-
-
-
状态
- Liquid
-
缓冲液
-
Preservative: 0.03 % Proclin 300
Constituents: 50 % Glycerol, 0.01M PBS, PH 7.4 -
储存液
- ProClin
-
注意事项
- This product contains ProClin: a POISONOUS AND HAZARDOUS SUBSTANCE which should be handled by trained staff only.
-
储存条件
- -20 °C,-80 °C
-
储存方法
- Upon receipt, store at -20°C or -80°C. Avoid repeated freeze.
-
-
- LRRC20 (Leucine Rich Repeat Containing 20 (LRRC20))
-
别名
- LRRC20
-
背景
- BC036304 antibody, FLJ10751 antibody, FLJ10844 antibody, Leucine rich repeat containing 20 antibody, Leucine rich repeat containing protein 20 antibody, Leucine-rich repeat-containing protein 20 antibody, LRC20_HUMAN antibody, Lrrc20 antibody, MGC25719 antibody, OTTHUMP00000019752 antibody, OTTHUMP00000035622 antibody, UNQ2429/PRO4989 antibody
-
UniProt
- Q8TCA0
抗原
-