电话:
+86 (0512) 65829739
传真:
+86 (010) 6788 5057
电子邮件:
orders@antibodies-online.cn

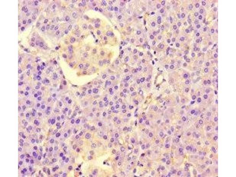
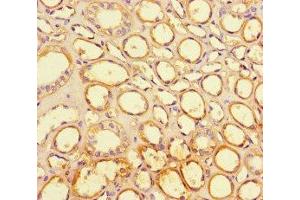
PPIL5 抗体 (AA 18-159)

The 兔 多克隆 anti-PPIL5 antibody (ABIN7158094) specifically detects PPIL5 in ELISA, IHC 和 IF. The antibody is reactive with 人 samples.
产品编号 ABIN7158094
发货至: 中国
Contact our Customer Service for availability and price in your country. Contact Info

Our Local Distributor

中国
北京 101111
No. 88 KeChuang 6th Street
Beijing Economic Technological Development Area
Room 801-803
4A Biotech Co.,Ltd.
Tel +86 (0512) 65829739 传真 +86 (010) 6788 5057

Quick Overview for PPIL5 抗体 (AA 18-159) (ABIN7158094)

抗原

See all PPIL5 (LRR1) 抗体
PPIL5 (LRR1) (Leucine Rich Repeat Protein 1 (LRR1))

适用

  • 18
  • 2
  • 1

宿主

  • 17
  • 1

克隆类型

  • 18
多克隆

标记

  • 9
  • 3
  • 2
  • 2
  • 1
  • 1
This PPIL5 antibody is un-conjugated

应用范围

ELISA, Immunohistochemistry (IHC), Immunofluorescence (IF)
  • 抗原表位

    • 7
    • 4
    • 2
    • 1
    • 1
    • 1
    • 1
    AA 18-159

    原理

    LRR1 Antibody

    纯化方法

    Protein G purified

    纯度

    >95 %

    免疫原

    Recombinant Human Leucine-rich repeat protein 1 protein (18-159AA)

    亚型

    IgG
  • 应用备注

    Optimal working dilution should be determined by the investigator.

    限制

    仅限研究用
  • 状态

    Liquid

    缓冲液

    Preservative: 0.03 % Proclin 300
    Constituents: 50 % Glycerol, 0.01M PBS, PH 7.4

    储存液

    ProClin

    注意事项

    This product contains ProClin: a POISONOUS AND HAZARDOUS SUBSTANCE which should be handled by trained staff only.

    储存条件

    -20 °C,-80 °C

    储存方法

    Upon receipt, store at -20°C or -80°C. Avoid repeated freeze.
  • 抗原

    PPIL5 (LRR1) (Leucine Rich Repeat Protein 1 (LRR1))

    别名

    LRR1

    背景

    Background: May negatively regulate the 4-1BB-mediated signaling cascades which result in the activation of NK-kappaB and JNK1. Probable substrate recognition subunit of an ECS (Elongin BC-CUL2/5-SOCS-box protein) E3 ubiquitin-protein ligase complex which mediates the ubiquitination and subsequent proteasomal degradation of target proteins.

    Aliases: 4 1BB mediated signaling molecule antibody, 4 1BBlrr antibody, 4-1BB-mediated-signaling molecule antibody, 4-1BBlrr antibody, Cyclophilin like 5 antibody, Leucine-rich repeat protein 1 antibody, LLR1_HUMAN antibody, LRR 1 antibody, LRR repeat protein 1 antibody, LRR-1 antibody, LRR-repeat protein 1 antibody, LRR1 antibody, MGC20689 antibody, peptidylprolyl isomerase (cyclophilin) like 5 antibody, Peptidylprolyl isomerase like 5 antibody, Peptidylprolyl isomerase-like 5 antibody, PPIL5 antibody

    UniProt

    Q96L50
You are here: