电话:
+86 (0512) 65829739
传真:
+86 (010) 6788 5057
电子邮件:
orders@antibodies-online.cn

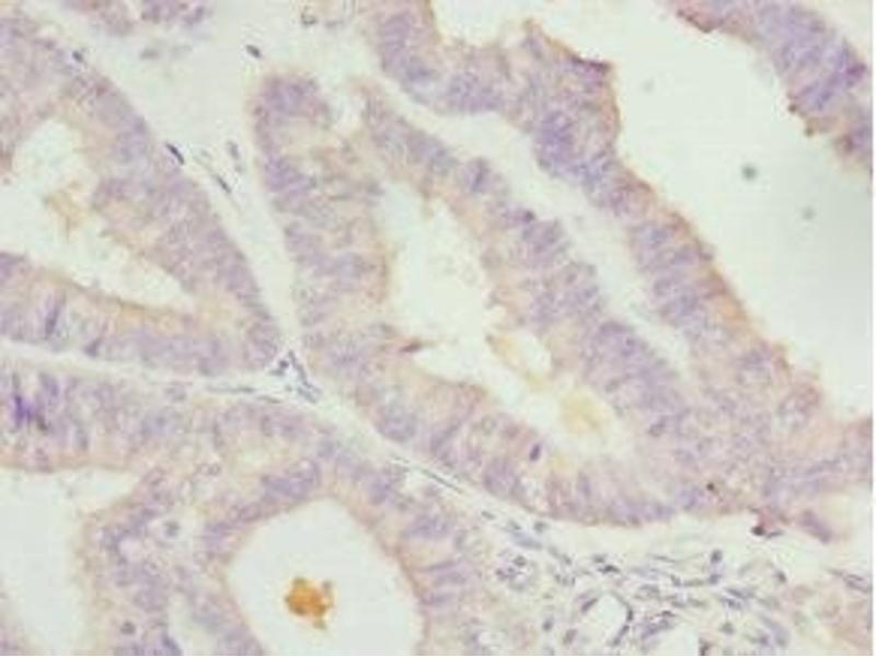
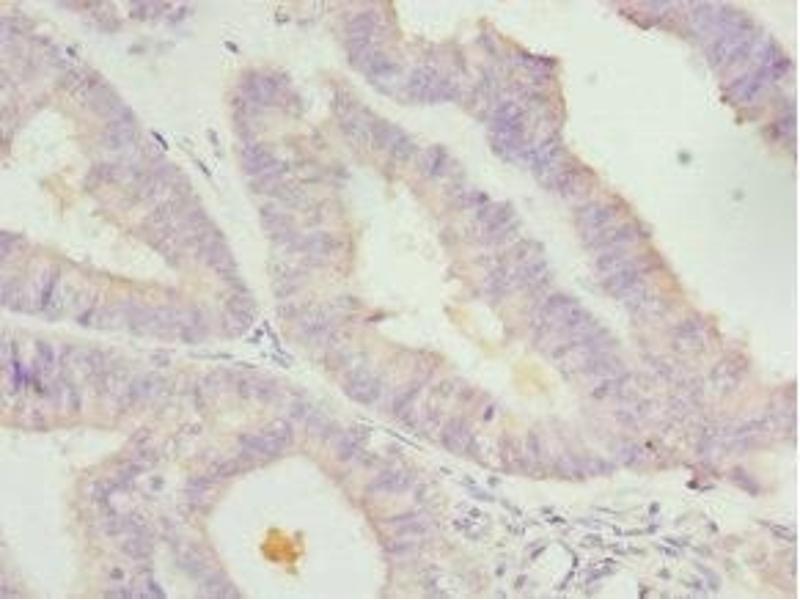
LEFTY2 抗体 (AA 57-366)

The 兔 多克隆 anti-LEFTY2 antibody is suitable to detect LEFTY2 in samples from 人. It has been validated for WB, IHC 和 ELISA.
产品编号 ABIN7157970
发货至: 中国
Contact our Customer Service for availability and price in your country. Contact Info

Our Local Distributor

中国
北京 101111
No. 88 KeChuang 6th Street
Beijing Economic Technological Development Area
Room 801-803
4A Biotech Co.,Ltd.
Tel +86 (0512) 65829739 传真 +86 (010) 6788 5057

Quick Overview for LEFTY2 抗体 (AA 57-366) (ABIN7157970)

抗原

See all LEFTY2 抗体
LEFTY2 (Left-Right Determination Factor 2 (LEFTY2))

适用

  • 45
  • 25
  • 22
  • 3
  • 1
  • 1
  • 1

宿主

  • 48
  • 7
  • 2
  • 1

克隆类型

  • 38
  • 20
多克隆

标记

  • 34
  • 10
  • 2
  • 2
  • 2
  • 2
  • 2
  • 2
  • 1
  • 1
This LEFTY2 antibody is un-conjugated

应用范围

  • 50
  • 17
  • 15
  • 12
  • 10
  • 6
  • 3
  • 2
  • 1
  • 1
  • 1
  • 1
  • 1
  • 1
  • 1
Western Blotting (WB), Immunohistochemistry (IHC), ELISA
  • 抗原表位

    • 4
    • 4
    • 4
    • 3
    • 2
    • 2
    • 1
    • 1
    • 1
    AA 57-366

    原理

    LEFTY2 Antibody

    纯化方法

    Antigen Affinity Purified

    免疫原

    Recombinant Human Left-right determination factor 2 protein (57-366AA)

    亚型

    IgG
  • 应用备注

    Optimal working dilution should be determined by the investigator.

    限制

    仅限研究用
  • 状态

    Liquid

    缓冲液

    PBS with 0.02 % sodium azide, 50 % glycerol, pH 7.3.

    储存液

    Sodium azide

    注意事项

    This product contains Sodium azide: a POISONOUS AND HAZARDOUS SUBSTANCE which should be handled by trained staff only.

    储存条件

    -20 °C,-80 °C

    储存方法

    Upon receipt, store at -20°C or -80°C. Avoid repeated freeze.
  • 抗原

    LEFTY2 (Left-Right Determination Factor 2 (LEFTY2))

    别名

    LEFTY2

    背景

    Background: Required for left-right (L-R) asymmetry determination of organ systems in mammals. May play a role in endometrial bleeding.

    Aliases: EBAF antibody, Endometrial bleeding associated factor (left right determination factor A transforming growth factor beta superfamily) antibody, Endometrial bleeding associated factor antibody, Endometrial bleeding-associated factor antibody, Left right determination factor 2 antibody, Left right determination factor A antibody, Left-right determination factor 2 antibody, Left-right determination factor A antibody, LEFTA antibody, LEFTY 2 antibody, LEFTY2 antibody, LEFTYA antibody, LFTY2 transforming growth factor, beta -4 antibody, LFTY2, mouse, homolog of antibody, LFTY2_HUMAN antibody, MGC46222 antibody, Protein lefty 2 antibody, Protein lefty A antibody, Protein lefty-2 antibody, Protein lefty-A antibody, Protein lefty2 antibody, PSEC0024 antibody, TGF beta 4 antibody, TGF-beta-4 antibody, TGFB4 antibody, Transforming growth factor beta 4 antibody, Transforming growth factor beta-4 antibody

    UniProt

    O00292
You are here: