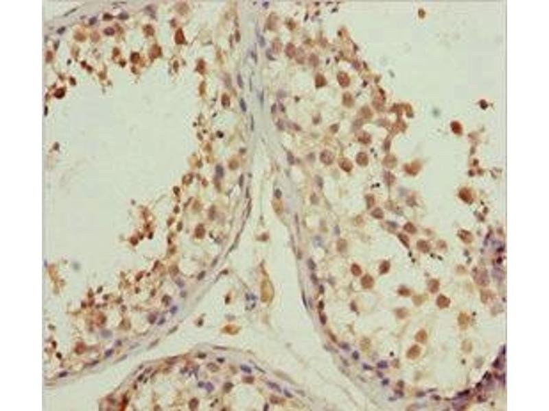
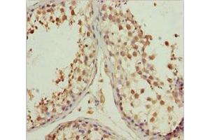
L2HGDH 抗体 (AA 1-220)
Our Local Distributor
北京 101111
Quick Overview for L2HGDH 抗体 (AA 1-220) (ABIN7157772)
抗原
See all L2HGDH 抗体适用
宿主
克隆类型
标记
应用范围
-
-
抗原表位
- AA 1-220
-
原理
- L2HGDH Antibody
-
纯化方法
- Antigen Affinity Purified
-
免疫原
- Recombinant Human L-2-hydroxyglutarate dehydrogenase, mitochondrial protein (1-220AA)
-
亚型
- IgG
-
-
-
-
应用备注
- Optimal working dilution should be determined by the investigator.
-
限制
- 仅限研究用
-
-
-
状态
- Liquid
-
缓冲液
- PBS with 0.02 % sodium azide, 50 % glycerol, pH 7.3.
-
储存液
- Sodium azide
-
注意事项
- This product contains Sodium azide: a POISONOUS AND HAZARDOUS SUBSTANCE which should be handled by trained staff only.
-
储存条件
- -20 °C,-80 °C
-
储存方法
- Upon receipt, store at -20°C or -80°C. Avoid repeated freeze.
-
-
- L2HGDH (L-2-Hydroxyglutarate Dehydrogenase (L2HGDH))
-
别名
- L2HGDH
-
背景
-
Background: integral component of membrane, integral component of mitochondrial inner membrane, mitochondrial inner membrane, mitochondrion, 2-hydroxyglutarate dehydrogenase activity, 2-oxoglutarate metabolic process, cellular protein metabolic process
Aliases: 2 hydroxyglutarate dehydrogenase antibody, Alpha hydroxyglutarate oxidoreductase antibody, Alpha ketoglutarate reductase antibody, C14orf160 antibody, Duranin antibody, FLJ12618 antibody, L alpha hydroxyglutarate dehydrogenase antibody, L-2-hydroxyglutarate dehydrogenase antibody, L-2-hydroxyglutarate dehydrogenase, mitochondrial antibody, L2HDH_HUMAN antibody, l2hgdh antibody, mitochondrial antibody
-
UniProt
- Q9H9P8
抗原
-