电话:
+86 (0512) 65829739
传真:
+86 (010) 6788 5057
电子邮件:
orders@antibodies-online.cn

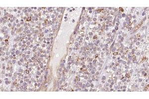
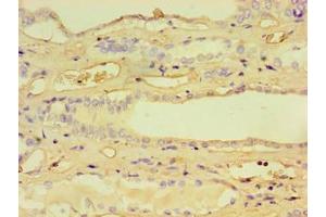
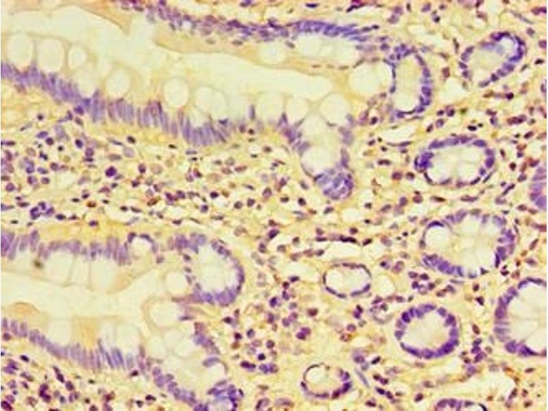
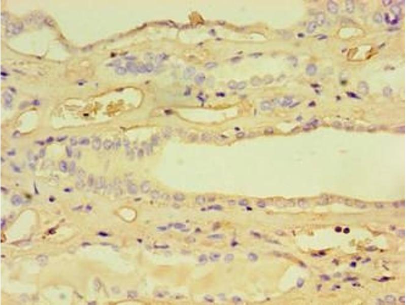
CCBL1 抗体 (AA 1-372)

The 兔 多克隆 anti-CCBL1 antibody is suitable to detect CCBL1 in samples from 人. It has been validated for ELISA 和 IHC.
产品编号 ABIN7157760
发货至: 中国
Contact our Customer Service for availability and price in your country. Contact Info

Our Local Distributor

中国
北京 101111
No. 88 KeChuang 6th Street
Beijing Economic Technological Development Area
Room 801-803
4A Biotech Co.,Ltd.
Tel +86 (0512) 65829739 传真 +86 (010) 6788 5057

Quick Overview for CCBL1 抗体 (AA 1-372) (ABIN7157760)

抗原

See all CCBL1 抗体
CCBL1 (Cysteine-S-conjugate beta-Lyase (CCBL1))

适用

  • 54
  • 12
  • 7

宿主

  • 46
  • 6
  • 2
  • 1

克隆类型

  • 52
  • 3
多克隆

标记

  • 25
  • 4
  • 4
  • 3
  • 1
  • 1
  • 1
  • 1
  • 1
  • 1
  • 1
  • 1
  • 1
  • 1
  • 1
  • 1
  • 1
  • 1
  • 1
  • 1
  • 1
  • 1
  • 1
This CCBL1 antibody is un-conjugated

应用范围

  • 28
  • 18
  • 13
  • 13
  • 7
  • 5
  • 4
  • 3
  • 3
  • 3
  • 1
ELISA, Immunohistochemistry (IHC)
  • 抗原表位

    • 15
    • 8
    • 5
    • 4
    • 3
    • 2
    • 1
    • 1
    • 1
    • 1
    • 1
    • 1
    AA 1-372

    原理

    KYAT1 Antibody

    纯化方法

    Protein G purified

    纯度

    >95 %

    免疫原

    Recombinant Human Kynurenine--oxoglutarate transaminase 1 protein (1-372AA)

    亚型

    IgG
  • 应用备注

    Optimal working dilution should be determined by the investigator.

    限制

    仅限研究用
  • 状态

    Liquid

    缓冲液

    Preservative: 0.03 % Proclin 300
    Constituents: 50 % Glycerol, 0.01M PBS, PH 7.4

    储存液

    ProClin

    注意事项

    This product contains ProClin: a POISONOUS AND HAZARDOUS SUBSTANCE which should be handled by trained staff only.

    储存条件

    -20 °C,-80 °C

    储存方法

    Upon receipt, store at -20°C or -80°C. Avoid repeated freeze.
  • 抗原

    CCBL1 (Cysteine-S-conjugate beta-Lyase (CCBL1))

    别名

    KYAT1

    背景

    Background: Catalyzes the irreversible transamination of the L-tryptophan metabolite L-kynurenine to form kynurenic acid (KA). Metabolizes the cysteine conjugates of certain halogenated alkenes and alkanes to form reactive metabolites. Catalyzes the beta-elimination of S-conjugates and Se-conjugates of L-(seleno)cysteine, resulting in the cleavage of the C-S or C-Se bond.

    Aliases: KYAT1 antibody, CCBL1 antibody, Kynurenine--oxoglutarate transaminase 1 antibody, EC 2.6.1.7 antibody, Cysteine-S-conjugate beta-lyase antibody, EC 4.4.1.13 antibody, Glutamine transaminase K antibody, GTK antibody, Glutamine--phenylpyruvate transaminase antibody, EC 2.6.1.64 antibody, Kynurenine aminotransferase 1 antibody, Kynurenine aminotransferase I antibody, KATI antibody, Kynurenine--oxoglutarate transaminase I antibody

    UniProt

    Q16773
You are here: