电话:
+86 (0512) 65829739
传真:
+86 (010) 6788 5057
电子邮件:
orders@antibodies-online.cn

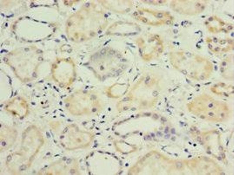
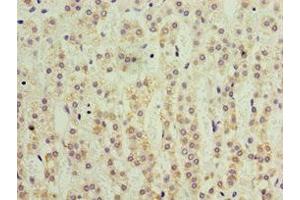
KLF3 抗体 (AA 1-240)

This 兔 多克隆 antibody specifically detects KLF3 in ELISA 和 IHC. It exhibits reactivity toward 人.
产品编号 ABIN7157726
发货至: 中国
Contact our Customer Service for availability and price in your country. Contact Info

Our Local Distributor

中国
北京 101111
No. 88 KeChuang 6th Street
Beijing Economic Technological Development Area
Room 801-803
4A Biotech Co.,Ltd.
Tel +86 (0512) 65829739 传真 +86 (010) 6788 5057

Quick Overview for KLF3 抗体 (AA 1-240) (ABIN7157726)

抗原

See all KLF3 抗体
KLF3 (Kruppel-Like Factor 3 (Basic) (KLF3))

适用

  • 22
  • 11
  • 10
  • 7
  • 7
  • 7
  • 5
  • 5
  • 4
  • 3
  • 3
  • 2
  • 1
  • 1
  • 1
  • 1

宿主

  • 20
  • 1
  • 1

克隆类型

  • 22
多克隆

标记

  • 17
  • 1
  • 1
  • 1
  • 1
  • 1
This KLF3 antibody is un-conjugated

应用范围

  • 15
  • 6
  • 5
  • 4
  • 3
  • 3
  • 2
  • 2
  • 1
ELISA, Immunohistochemistry (IHC)
  • 抗原表位

    • 6
    • 4
    • 3
    • 2
    • 1
    • 1
    • 1
    • 1
    AA 1-240

    原理

    KLF3 Antibody

    纯化方法

    Antigen Affinity Purified

    免疫原

    Recombinant Human Krueppel-like factor 3 protein (1-240AA)

    亚型

    IgG
  • 应用备注

    Optimal working dilution should be determined by the investigator.

    限制

    仅限研究用
  • 状态

    Liquid

    缓冲液

    PBS with 0.02 % sodium azide, 50 % glycerol, pH 7.3.

    储存液

    Sodium azide

    注意事项

    This product contains Sodium azide: a POISONOUS AND HAZARDOUS SUBSTANCE which should be handled by trained staff only.

    储存条件

    -20 °C,-80 °C

    储存方法

    Upon receipt, store at -20°C or -80°C. Avoid repeated freeze.
  • 抗原

    KLF3 (Kruppel-Like Factor 3 (Basic) (KLF3))

    别名

    KLF3

    背景

    Background: Binds to the CACCC box of erythroid cell-expressed genes. May play a role in hematopoiesis (By similarity).

    Aliases: Basic krueppel-like factor antibody, Basic Kruppel like factor antibody, BKLF3 antibody, CACCC box binding protein BKLF antibody, CACCC-box-binding protein BKLF antibody, Klf3 antibody, KLF3_HUMAN antibody, Krueppel-like factor 3 antibody, Kruppel like factor 3 (basic) antibody, MGC48279 antibody, TEF-2 antibody, TEF2 antibody, Transcript ch138 antibody, Zinc finger protein 741 antibody, ZNF741 antibody

    UniProt

    P57682
You are here: