电话:
+86 (0512) 65829739
传真:
+86 (010) 6788 5057
电子邮件:
orders@antibodies-online.cn

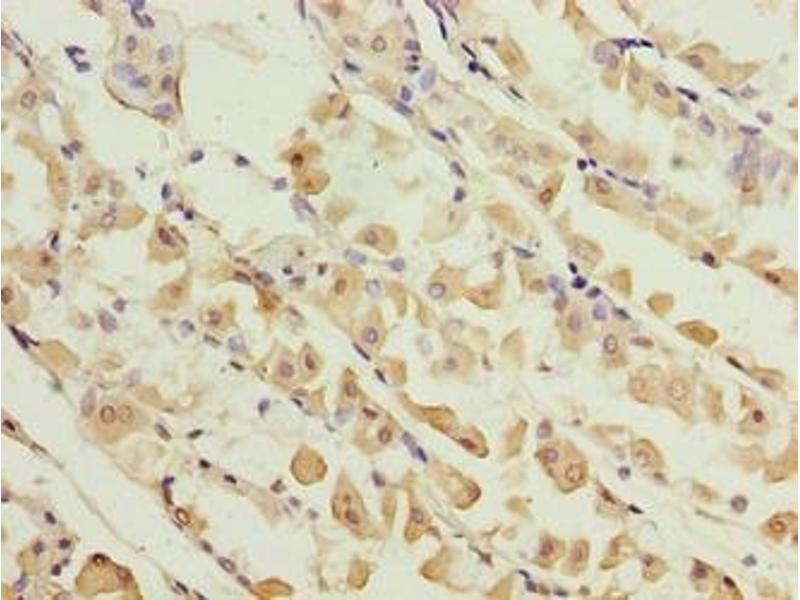
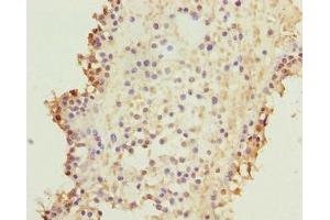
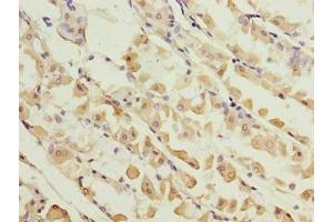
KIF26B 抗体 (AA 8-133)

The 兔 多克隆 anti-KIF26B antibody is suitable to detect KIF26B in samples from 人. It has been validated for ELISA 和 IHC.
产品编号 ABIN7157640
发货至: 中国
Contact our Customer Service for availability and price in your country. Contact Info

Our Local Distributor

中国
北京 101111
No. 88 KeChuang 6th Street
Beijing Economic Technological Development Area
Room 801-803
4A Biotech Co.,Ltd.
Tel +86 (0512) 65829739 传真 +86 (010) 6788 5057

Quick Overview for KIF26B 抗体 (AA 8-133) (ABIN7157640)

抗原

See all KIF26B 抗体
KIF26B (Kinesin Family Member 26B (KIF26B))

适用

  • 9
  • 3
  • 2

宿主

  • 8
  • 1

克隆类型

  • 9
多克隆

标记

  • 5
  • 2
  • 1
  • 1
This KIF26B antibody is un-conjugated

应用范围

  • 6
  • 3
  • 2
  • 1
  • 1
ELISA, Immunohistochemistry (IHC)
  • 抗原表位

    • 4
    • 2
    • 1
    • 1
    AA 8-133

    原理

    KIF26B Antibody

    纯化方法

    Protein G purified

    纯度

    >95 %

    免疫原

    Recombinant Human Kinesin-like protein KIF26B protein (8-133AA)

    亚型

    IgG
  • 应用备注

    Optimal working dilution should be determined by the investigator.

    限制

    仅限研究用
  • 状态

    Liquid

    缓冲液

    Preservative: 0.03 % Proclin 300
    Constituents: 50 % Glycerol, 0.01M PBS, PH 7.4

    储存液

    ProClin

    注意事项

    This product contains ProClin: a POISONOUS AND HAZARDOUS SUBSTANCE which should be handled by trained staff only.

    储存条件

    -20 °C,-80 °C

    储存方法

    Upon receipt, store at -20°C or -80°C. Avoid repeated freeze.
  • 抗原

    KIF26B (Kinesin Family Member 26B (KIF26B))

    别名

    KIF26B

    背景

    Background: Essential for embryonic kidney development. Plays an important role in the compact adhesion between mesenchymal cells adjacent to the ureteric buds, possibly by interacting with MYH10. This could lead to the establishment of the basolateral integrity of the mesenchyme and the polarized expression of ITGA8, which maintains the GDNF expression required for further ureteric bud attraction. Although it seems to lack ATPase activity it is constitutively associated with microtubules.

    Aliases: FLJ10157 antibody, KI26B_HUMAN antibody, KIF26B antibody, Kinesin-like protein KIF26B antibody

    UniProt

    Q2KJY2
You are here: