电话:
+86 (0512) 65829739
传真:
+86 (010) 6788 5057
电子邮件:
orders@antibodies-online.cn

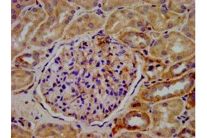
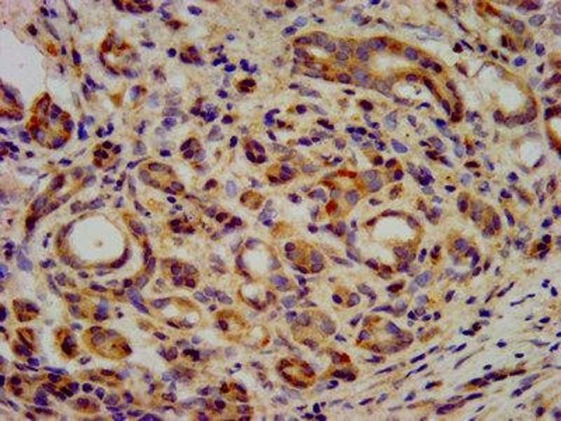
KIF20B 抗体 (AA 1607-1731)

The 兔 多克隆 anti-KIF20B antibody is suitable to detect KIF20B in samples from 人. It has been validated for ELISA, IF 和 IHC.
产品编号 ABIN7157616
发货至: 中国
Contact our Customer Service for availability and price in your country. Contact Info

Our Local Distributor

中国
北京 101111
No. 88 KeChuang 6th Street
Beijing Economic Technological Development Area
Room 801-803
4A Biotech Co.,Ltd.
Tel +86 (0512) 65829739 传真 +86 (010) 6788 5057

Quick Overview for KIF20B 抗体 (AA 1607-1731) (ABIN7157616)

抗原

See all KIF20B 抗体
KIF20B (Kinesin Family Member 20B (KIF20B))

适用

  • 17
  • 3
  • 2

宿主

  • 16
  • 1

克隆类型

  • 17
多克隆

标记

  • 11
  • 2
  • 2
  • 2
This KIF20B antibody is un-conjugated

应用范围

  • 12
  • 9
  • 3
  • 1
  • 1
  • 1
  • 1
ELISA, Immunofluorescence (IF), Immunohistochemistry (IHC)
  • 抗原表位

    • 7
    • 2
    • 1
    • 1
    • 1
    • 1
    • 1
    • 1
    • 1
    AA 1607-1731

    原理

    KIF20B Antibody

    纯化方法

    Protein G purified

    纯度

    >95 %

    免疫原

    Recombinant Human Kinesin-like protein KIF20B protein (1607-1731AA)

    亚型

    IgG
  • 应用备注

    Optimal working dilution should be determined by the investigator.

    限制

    仅限研究用
  • 状态

    Liquid

    缓冲液

    Preservative: 0.03 % Proclin 300
    Constituents: 50 % Glycerol, 0.01M PBS, pH 7.4

    储存液

    ProClin

    注意事项

    This product contains ProClin: a POISONOUS AND HAZARDOUS SUBSTANCE which should be handled by trained staff only.

    储存条件

    -20 °C,-80 °C

    储存方法

    Upon receipt, store at -20°C or -80°C. Avoid repeated freeze.
  • 抗原

    KIF20B (Kinesin Family Member 20B (KIF20B))

    别名

    KIF20B

    背景

    Background: Plus-end-directed motor enzyme that is required for completion of cytokinesis (PubMed:11470801, PubMed:12740395). Required for proper midbody organization and abscission in polarized cortical stem cells. Plays a role in the regulation of neuronal polarization by mediating the transport of specific cargos. Participates in the mobilization of SHTN1 and in the accumulation of PIP3 in the growth cone of primary hippocampal neurons in a tubulin and actin-dependent manner. In the developing telencephalon, cooperates with SHTN1 to promote both the transition from the multipolar to the bipolar stage and the radial migration of cortical neurons from the ventricular zone toward the superficial layer of the neocortex. Involved in cerebral cortex growth (By similarity). Acts as an oncogene for promoting bladder cancer cells proliferation, apoptosis inhibition and carcinogenic progression (PubMed:17409436).

    Aliases: Cancer/testis antigen 90 antibody, CT90 antibody, KI20B_HUMAN antibody, KIF20B antibody, Kinesin-like protein KIF20B antibody, Kinesin-related motor interacting with PIN1 antibody, KRMP1 antibody, M-phase phosphoprotein 1 antibody, MPHOSPH1 antibody, MPP 1 antibody, Mpp1 antibody

    UniProt

    Q96Q89

    途径

    M Phase
You are here: