电话:
+86 (0512) 65829739
传真:
+86 (010) 6788 5057
电子邮件:
orders@antibodies-online.cn

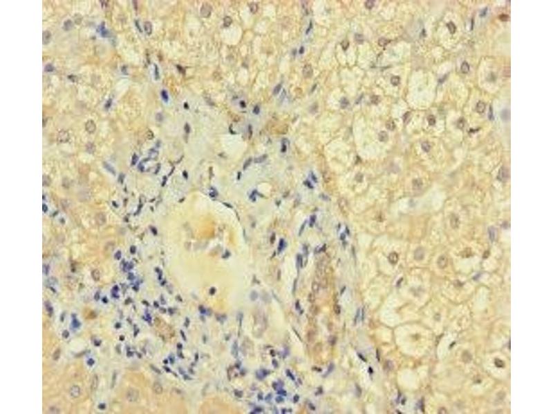
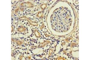
Keratin 71 抗体 (AA 201-500)

The 兔 多克隆 anti-Keratin 71 antibody is suitable to detect Keratin 71 in samples from 人. It has been validated for IHC 和 ELISA.
产品编号 ABIN7157448
发货至: 中国
Contact our Customer Service for availability and price in your country. Contact Info

Our Local Distributor

中国
北京 101111
No. 88 KeChuang 6th Street
Beijing Economic Technological Development Area
Room 801-803
4A Biotech Co.,Ltd.
Tel +86 (0512) 65829739 传真 +86 (010) 6788 5057

Quick Overview for Keratin 71 抗体 (AA 201-500) (ABIN7157448)

抗原

See all Keratin 71 (KRT71) 抗体
Keratin 71 (KRT71)

适用

  • 11
  • 5
  • 2
  • 1
  • 1
  • 1
  • 1
  • 1
  • 1
  • 1

宿主

  • 12
  • 2
  • 1

克隆类型

  • 13
  • 2
多克隆

标记

  • 8
  • 4
  • 2
  • 1
This Keratin 71 antibody is un-conjugated

应用范围

  • 11
  • 5
  • 5
  • 3
  • 2
  • 1
  • 1
  • 1
Immunohistochemistry (IHC), ELISA
  • 抗原表位

    • 4
    • 2
    • 1
    • 1
    • 1
    • 1
    • 1
    AA 201-500

    原理

    KRT71 Antibody

    纯化方法

    Protein G purified

    纯度

    >95 %

    免疫原

    Recombinant Human Keratin, type II cytoskeletal 71 protein (201-500AA)

    亚型

    IgG
  • 应用备注

    Optimal working dilution should be determined by the investigator.

    限制

    仅限研究用
  • 状态

    Liquid

    缓冲液

    Preservative: 0.03 % Proclin 300
    Constituents: 50 % Glycerol, 0.01M PBS, PH 7.4

    储存液

    ProClin

    注意事项

    This product contains ProClin: a POISONOUS AND HAZARDOUS SUBSTANCE which should be handled by trained staff only.

    储存条件

    -20 °C,-80 °C

    储存方法

    Upon receipt, store at -20°C or -80°C. Avoid repeated freeze.
  • 抗原

    Keratin 71 (KRT71)

    别名

    KRT71

    背景

    Background: Plays a central role in hair formation. Essential component of keratin intermediate filaments in the inner root sheath (IRS) of the hair follicle.

    Aliases: CK-71 antibody, Cytokeratin-71 antibody, hK6irs antibody, hK6irs1 antibody, K2C71_HUMAN antibody, K6IRS1 antibody, K71 antibody, KB34 antibody, Keratin 6 irs antibody, Keratin 6, inner root sheath, 1 antibody, Keratin antibody, keratin, type II cytoskeletal 71 antibody, Keratin-71 antibody, KRT6IRS antibody, KRT6IRS1 antibody, KRT71 antibody, MGC119390 antibody, MGC119391 antibody, OTTHUMP00000236990 antibody, type II cytoskeletal 71 antibody, Type II inner root sheath-specific keratin-K6irs1 antibody, Type-II keratin Kb34 antibody

    UniProt

    Q3SY84
You are here: