电话:
+86 (0512) 65829739
传真:
+86 (010) 6788 5057
电子邮件:
orders@antibodies-online.cn

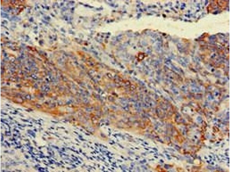
Cytokeratin 7 抗体 (AA 2-469)

This 兔 多克隆 antibody specifically detects Cytokeratin 7 in WB, IHC, IF, ELISA 和 IP. It exhibits reactivity toward 人.
产品编号 ABIN7157444
发货至: 中国
Contact our Customer Service for availability and price in your country. Contact Info

Our Local Distributor

中国
北京 101111
No. 88 KeChuang 6th Street
Beijing Economic Technological Development Area
Room 801-803
4A Biotech Co.,Ltd.
Tel +86 (0512) 65829739 传真 +86 (010) 6788 5057

Quick Overview for Cytokeratin 7 抗体 (AA 2-469) (ABIN7157444)

抗原

See all Cytokeratin 7 (KRT7) 抗体
Cytokeratin 7 (KRT7) (Keratin 7 (KRT7))

适用

  • 263
  • 85
  • 72
  • 7
  • 6
  • 5
  • 3
  • 3
  • 2
  • 2
  • 2
  • 1
  • 1
  • 1
  • 1
  • 1

宿主

  • 160
  • 113
  • 1
  • 1

克隆类型

  • 176
  • 98
  • 1
多克隆

标记

  • 109
  • 25
  • 15
  • 7
  • 7
  • 7
  • 7
  • 7
  • 7
  • 7
  • 6
  • 6
  • 6
  • 6
  • 6
  • 6
  • 4
  • 3
  • 3
  • 3
  • 2
  • 2
  • 2
  • 2
  • 2
  • 2
  • 2
  • 2
  • 2
  • 2
  • 2
  • 2
  • 2
  • 1
  • 1
This Cytokeratin 7 antibody is un-conjugated

应用范围

  • 182
  • 138
  • 120
  • 99
  • 49
  • 39
  • 31
  • 29
  • 28
  • 28
  • 19
  • 16
  • 13
  • 4
  • 4
  • 3
  • 2
  • 1
  • 1
  • 1
Western Blotting (WB), Immunohistochemistry (IHC), Immunofluorescence (IF), ELISA, Immunoprecipitation (IP)
  • 抗原表位

    • 31
    • 16
    • 13
    • 9
    • 7
    • 4
    • 4
    • 4
    • 2
    • 2
    • 2
    • 2
    • 2
    • 2
    • 1
    • 1
    • 1
    • 1
    • 1
    • 1
    • 1
    • 1
    • 1
    AA 2-469

    原理

    KRT7 Antibody

    纯化方法

    Protein G purified

    纯度

    >95 %

    免疫原

    Recombinant Human Keratin, type II cytoskeletal 7 protein (2-469AA)

    亚型

    IgG
  • 应用备注

    Optimal working dilution should be determined by the investigator.

    限制

    仅限研究用
  • 状态

    Liquid

    缓冲液

    Preservative: 0.03 % Proclin 300
    Constituents: 50 % Glycerol, 0.01M PBS, pH 7.4

    储存液

    ProClin

    注意事项

    This product contains ProClin: a POISONOUS AND HAZARDOUS SUBSTANCE which should be handled by trained staff only.

    储存条件

    -20 °C,-80 °C

    储存方法

    Upon receipt, store at -20°C or -80°C. Avoid repeated freeze.
  • 抗原

    Cytokeratin 7 (KRT7) (Keratin 7 (KRT7))

    别名

    KRT7

    背景

    Background: Blocks interferon-dependent interphase and stimulates DNA synthesis in cells. Involved in the translational regulation of the human papillomavirus type 16 E7 mRNA (HPV16 E7).

    Aliases: CK 7 antibody, CK-7 antibody, CK7 antibody, Cytokeratin 7 antibody, Cytokeratin-7 antibody, D15Wsu77e antibody, K2C7 antibody, K2C7_HUMAN antibody, K7 antibody, Keratin 7 antibody, Keratin 7, type II antibody, Keratin type II cytoskeletal 7 antibody, Keratin, 55K type II cytoskeletal antibody, Keratin, simple epithelial antibody, Keratin, simple epithelial type I, K7 antibody, Keratin, type II cytoskeletal 7 antibody, Keratin-7 antibody, Krt2-7 antibody, KRT7 antibody, MGC11625 antibody, MGC129731 antibody, MGC3625 antibody, Sarcolectin antibody, SCL antibody, Type II mesothelial keratin K7 antibody, Type-II keratin Kb7 antibody

    UniProt

    P08729
You are here: