电话:
+86 (0512) 65829739
传真:
+86 (010) 6788 5057
电子邮件:
orders@antibodies-online.cn

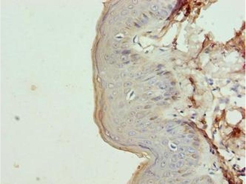
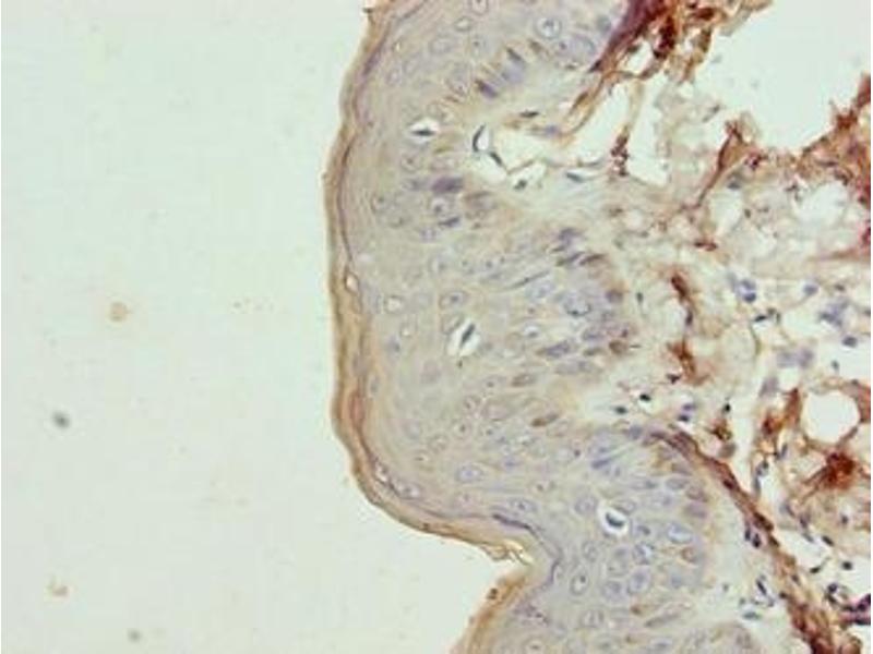
Keratin 35 抗体 (AA 1-455)

The 兔 多克隆 anti-Keratin 35 antibody is suitable to detect Keratin 35 in samples from 人. It has been validated for WB, ELISA 和 IHC.
产品编号 ABIN7157364
发货至: 中国
Contact our Customer Service for availability and price in your country. Contact Info

Our Local Distributor

中国
北京 101111
No. 88 KeChuang 6th Street
Beijing Economic Technological Development Area
Room 801-803
4A Biotech Co.,Ltd.
Tel +86 (0512) 65829739 传真 +86 (010) 6788 5057

Quick Overview for Keratin 35 抗体 (AA 1-455) (ABIN7157364)

抗原

See all Keratin 35 (KRT35) 抗体
Keratin 35 (KRT35)

适用

  • 23
  • 8
  • 4
  • 4
  • 4
  • 4
  • 4
  • 3
  • 3
  • 2
  • 1
  • 1
  • 1

宿主

  • 21
  • 1
  • 1

克隆类型

  • 23
多克隆

标记

  • 14
  • 3
  • 2
  • 2
  • 1
  • 1
This Keratin 35 antibody is un-conjugated

应用范围

  • 19
  • 13
  • 7
  • 1
  • 1
  • 1
Western Blotting (WB), ELISA, Immunohistochemistry (IHC)
  • 抗原表位

    • 7
    • 5
    • 4
    • 2
    • 1
    • 1
    • 1
    • 1
    • 1
    AA 1-455

    原理

    KRT35 Antibody

    纯化方法

    Protein G purified

    纯度

    >95 %

    免疫原

    Recombinant Human Keratin, type I cuticular Ha5 protein (1-455AA)

    亚型

    IgG
  • 应用备注

    Optimal working dilution should be determined by the investigator.

    限制

    仅限研究用
  • 状态

    Liquid

    缓冲液

    Preservative: 0.03 % Proclin 300
    Constituents: 50 % Glycerol, 0.01M PBS, PH 7.4

    储存液

    ProClin

    注意事项

    This product contains ProClin: a POISONOUS AND HAZARDOUS SUBSTANCE which should be handled by trained staff only.

    储存条件

    -20 °C,-80 °C

    储存方法

    Upon receipt, store at -20°C or -80°C. Avoid repeated freeze.
  • 抗原

    Keratin 35 (KRT35)

    别名

    KRT35

    背景

    Background: extracellular exosome, extracellular space, anatomical structure morphogenesis

    Aliases: Hair keratin antibody, Hair keratin, type I Ha5 antibody, HHA5 antibody, HKA5 antibody, K35 antibody, Keratin antibody, Keratin, type I cuticular Ha5 antibody, Keratin-35 antibody, KRT35 antibody, KRT35_HUMAN antibody, KRTHA5 antibody, type I cuticular Ha5 antibody, type I Ha5 antibody

    UniProt

    Q92764
You are here: