电话:
+86 (0512) 65829739
传真:
+86 (010) 6788 5057
电子邮件:
orders@antibodies-online.cn

KLHL26 抗体 (AA 366-615)

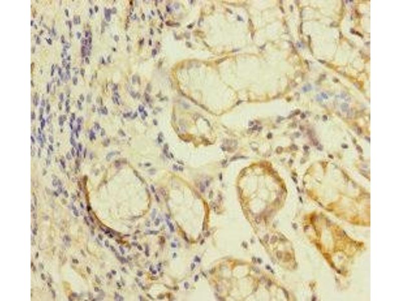
The 兔 多克隆 anti-KLHL26 antibody is suitable to detect KLHL26 in samples from 人. It has been validated for ELISA 和 IHC.
产品编号 ABIN7157289
发货至: 中国
Contact our Customer Service for availability and price in your country. Contact Info

Our Local Distributor

中国
北京 101111
No. 88 KeChuang 6th Street
Beijing Economic Technological Development Area
Room 801-803
4A Biotech Co.,Ltd.
Tel +86 (0512) 65829739 传真 +86 (010) 6788 5057

Quick Overview for KLHL26 抗体 (AA 366-615) (ABIN7157289)

抗原

KLHL26 (Kelch-Like 26 (KLHL26))

适用

  • 26
  • 6
  • 5
  • 4
  • 4
  • 4
  • 4
  • 3
  • 3
  • 3
  • 2

宿主

  • 26

克隆类型

  • 26
多克隆

标记

  • 12
  • 1
  • 1
  • 1
  • 1
  • 1
  • 1
  • 1
  • 1
  • 1
  • 1
  • 1
  • 1
  • 1
  • 1
This KLHL26 antibody is un-conjugated

应用范围

  • 24
  • 13
  • 13
  • 4
  • 3
  • 3
  • 1
  • 1
  • 1
ELISA, Immunohistochemistry (IHC)
  • 抗原表位

    • 15
    • 3
    • 2
    • 1
    • 1
    • 1
    AA 366-615

    原理

    KLHL26 Antibody

    纯化方法

    Antigen Affinity Purified

    免疫原

    Recombinant Human Kelch-like protein 26 protein (366-615AA)

    亚型

    IgG
  • 应用备注

    Optimal working dilution should be determined by the investigator.

    限制

    仅限研究用
  • 状态

    Liquid

    缓冲液

    PBS with 0.02 % sodium azide, 50 % glycerol, pH 7.3.

    储存液

    Sodium azide

    注意事项

    This product contains Sodium azide: a POISONOUS AND HAZARDOUS SUBSTANCE which should be handled by trained staff only.

    储存条件

    -20 °C,-80 °C

    储存方法

    Upon receipt, store at -20°C or -80°C. Avoid repeated freeze.
  • 抗原

    KLHL26 (Kelch-Like 26 (KLHL26))

    别名

    KLHL26

    背景

    Background: Cul3-RING ubiquitin ligase complex

    Aliases: C630013N10Rik antibody, FLJ11078 antibody, Kelch like 26 (Drosophila) antibody, Kelch like protein 26 antibody, Kelch-like protein 26 antibody, KLH26_HUMAN antibody, KLHL26 antibody, Klkl26 antibody

    UniProt

    Q53HC5
You are here: