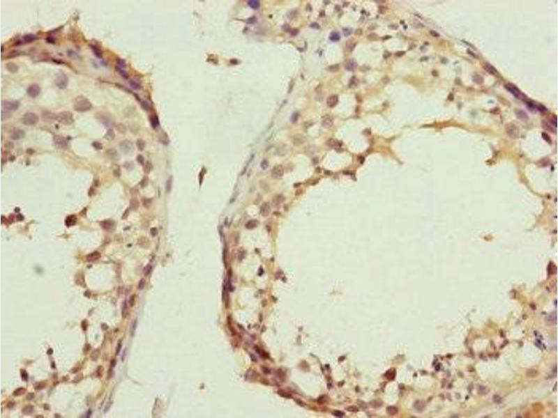
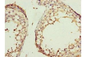
KANSL3 抗体 (AA 1-200)
Our Local Distributor
北京 101111
Quick Overview for KANSL3 抗体 (AA 1-200) (ABIN7157234)
抗原
See all KANSL3 抗体适用
宿主
克隆类型
标记
应用范围
-
-
抗原表位
- AA 1-200
-
原理
- KANSL3 Antibody
-
纯化方法
- Antigen Affinity Purified
-
免疫原
- Recombinant Human KAT8 regulatory NSL complex subunit 3 protein (1-200AA)
-
亚型
- IgG
-
-
-
-
应用备注
- Optimal working dilution should be determined by the investigator.
-
限制
- 仅限研究用
-
-
-
状态
- Liquid
-
缓冲液
- PBS with 0.02 % sodium azide, 50 % glycerol, pH 7.3.
-
储存液
- Sodium azide
-
注意事项
- This product contains Sodium azide: a POISONOUS AND HAZARDOUS SUBSTANCE which should be handled by trained staff only.
-
储存条件
- -20 °C,-80 °C
-
储存方法
- Upon receipt, store at -20°C or -80°C. Avoid repeated freeze.
-
-
- KANSL3 (KAT8 Regulatory NSL Complex Subunit 3 (KANSL3))
-
别名
- KANSL3
-
背景
-
Background: As part of the NSL complex it is involved in acetylation of nucleosomal histone H4 on several lysine residues and therefore may be involved in the regulation of transcription.
Aliases: K1310_HUMAN antibody, KAT8 regulatory NSL complex subunit 3 antibody, Kiaa1310 antibody, Non specific lethal 3 homolog antibody, NSL complex protein NSL3 antibody, NSL3 antibody, Rcd1 antibody, Serum inhibited-related protein antibody, Testis development protein PRTD antibody, Uncharacterized protein KIAA1310 antibody
-
UniProt
- Q9P2N6
抗原
-