电话:
+86 (0512) 65829739
传真:
+86 (010) 6788 5057
电子邮件:
orders@antibodies-online.cn

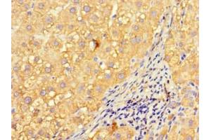
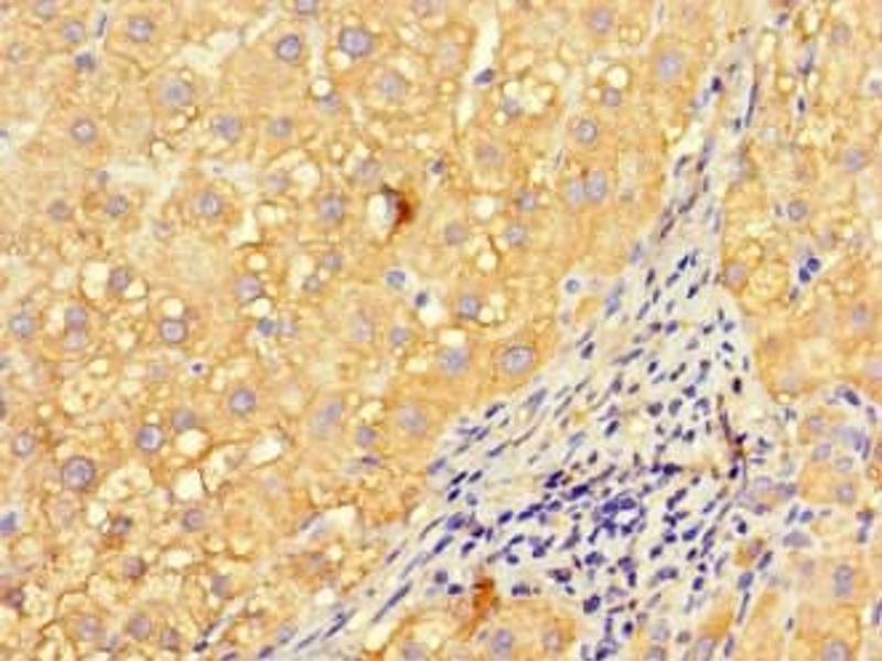
Inversin 抗体 (AA 1-101)

The 兔 多克隆 anti-Inversin antibody (ABIN7157008) specifically detects Inversin in WB, ELISA, IHC 和 IF. The antibody is reactive with 人 samples.
产品编号 ABIN7157008
发货至: 中国
Contact our Customer Service for availability and price in your country. Contact Info

Our Local Distributor

中国
北京 101111
No. 88 KeChuang 6th Street
Beijing Economic Technological Development Area
Room 801-803
4A Biotech Co.,Ltd.
Tel +86 (0512) 65829739 传真 +86 (010) 6788 5057

Quick Overview for Inversin 抗体 (AA 1-101) (ABIN7157008)

抗原

See all Inversin (INVS) 抗体
Inversin (INVS)

适用

  • 27
  • 19
  • 3

宿主

  • 28
  • 1

克隆类型

  • 29
多克隆

标记

  • 11
  • 3
  • 2
  • 2
  • 1
  • 1
  • 1
  • 1
  • 1
  • 1
  • 1
  • 1
  • 1
  • 1
  • 1
This Inversin antibody is un-conjugated

应用范围

  • 24
  • 13
  • 13
  • 10
  • 6
  • 4
  • 3
  • 3
  • 3
  • 1
Western Blotting (WB), ELISA, Immunohistochemistry (IHC), Immunofluorescence (IF)
  • 抗原表位

    • 15
    • 4
    • 2
    • 1
    • 1
    • 1
    • 1
    • 1
    AA 1-101

    原理

    INVS Antibody

    纯化方法

    Protein G purified

    纯度

    >95 %

    免疫原

    Recombinant Human Inversin protein (1-101AA)

    亚型

    IgG
  • 应用备注

    Optimal working dilution should be determined by the investigator.

    限制

    仅限研究用
  • 状态

    Liquid

    缓冲液

    Preservative: 0.03 % Proclin 300
    Constituents: 50 % Glycerol, 0.01M PBS, PH 7.4

    储存液

    ProClin

    注意事项

    This product contains ProClin: a POISONOUS AND HAZARDOUS SUBSTANCE which should be handled by trained staff only.

    储存条件

    -20 °C,-80 °C

    储存方法

    Upon receipt, store at -20°C or -80°C. Avoid repeated freeze.
  • 抗原

    Inversin (INVS)

    别名

    INVS

    背景

    Background: Required for normal renal development and establishment of left-right axis. Probably acts as a molecular switch between different Wnt signaling pathways. Inhibits the canonical Wnt pathway by targeting cytoplasmic disheveled (DVL1) for degradation by the ubiquitin-proteasome. This suggests that it is required in renal development to oppose the repression of terminal differentiation of tubular epithelial cells by Wnt signaling. Involved in the organization of apical junctions in kidney cells together with NPHP1, NPHP4 and RPGRIP1L/NPHP8 (By similarity). Does not seem to be strictly required for ciliogenesis (By similarity).

    Aliases: INVS antibody, INV antibody, NPHP2 antibody, Inversin antibody, Inversion of embryo turning homolog antibody, Nephrocystin-2 antibody

    UniProt

    Q9Y283
You are here: