电话:
+86 (0512) 65829739
传真:
+86 (010) 6788 5057
电子邮件:
orders@antibodies-online.cn

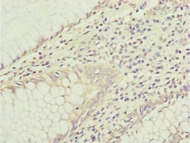
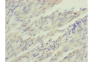
IL1F9 抗体 (AA 1-169)

The 兔 多克隆 anti-IL1F9 antibody is suitable to detect IL1F9 in samples from 人. It has been validated for IHC 和 ELISA.
产品编号 ABIN7156905
发货至: 中国
Contact our Customer Service for availability and price in your country. Contact Info

Our Local Distributor

中国
北京 101111
No. 88 KeChuang 6th Street
Beijing Economic Technological Development Area
Room 801-803
4A Biotech Co.,Ltd.
Tel +86 (0512) 65829739 传真 +86 (010) 6788 5057

Quick Overview for IL1F9 抗体 (AA 1-169) (ABIN7156905)

抗原

See all IL1F9 抗体
IL1F9 (Interleukin 1 Family Member 9 (IL1F9))

适用

  • 27
  • 13
  • 3
  • 1
  • 1

宿主

  • 26
  • 13
  • 1

克隆类型

  • 26
  • 14
多克隆

标记

  • 35
  • 5
This IL1F9 antibody is un-conjugated

应用范围

  • 38
  • 26
  • 14
  • 13
  • 10
  • 4
  • 3
  • 2
  • 1
  • 1
Immunohistochemistry (IHC), ELISA
  • 抗原表位

    • 5
    • 4
    • 2
    • 2
    • 2
    • 2
    • 1
    • 1
    • 1
    • 1
    • 1
    • 1
    • 1
    • 1
    • 1
    AA 1-169

    原理

    IL36G Antibody

    纯化方法

    Antigen Affinity Purified

    免疫原

    Recombinant Human Interleukin-36 gamma protein (1-169AA)

    亚型

    IgG
  • 应用备注

    Optimal working dilution should be determined by the investigator.

    限制

    仅限研究用
  • 状态

    Liquid

    缓冲液

    PBS with 0.02 % sodium azide, 50 % glycerol, pH 7.3.

    储存液

    Sodium azide

    注意事项

    This product contains Sodium azide: a POISONOUS AND HAZARDOUS SUBSTANCE which should be handled by trained staff only.

    储存条件

    -20 °C,-80 °C

    储存方法

    Upon receipt, store at -20°C or -80°C. Avoid repeated freeze.
  • 抗原

    IL1F9 (Interleukin 1 Family Member 9 (IL1F9))

    别名

    IL36G

    背景

    Background: Cytokine that binds to and signals through the IL1RL2/IL-36R receptor which in turn activates NF-kappa-B and MAPK signaling pathways in target cells. Part of the IL-36 signaling system that is thought to be present in epithelial barriers and to take part in local inflammatory response, similar to the IL-1 system with which it shares the coreceptor IL1RAP. Seems to be involved in skin inflammatory response by acting on keratinocytes, dendritic cells and indirectly on T-cells to drive tissue infiltration, cell maturation and cell proliferation. In cultured keratinocytes induces the expression of macrophage, T-cell, and neutrophil chemokines, such as CCL3, CCL4, CCL5, CCL2, CCL17, CCL22, CL20, CCL5, CCL2, CCL17, CCL22, CXCL8, CCL20 and CXCL1, also stimulates its own expression and that of the prototypic cutaneous proinflammatory parameters TNF-alpha, S100A7/psoriasin and inducible NOS. May play a role in proinflammatory responses during particular neutrophilic airway inflammation: activates mitogen-activated protein kinases and NF-kappa B in primary lung fibroblasts, and stimulates the expression of IL-8 and CXCL3 and Th17 chemokine CCL20 in lung fibroblasts. May be involved in the innate immune response to fungal pathogens, such as Aspergillus fumigatus.

    Aliases: IL 1 epsilon antibody, IL 1 related protein 2 antibody, IL 1(EPSILON) antibody, IL 1F9 antibody, IL 1H1 antibody, IL 1RP2 antibody, IL-1 epsilon antibody, IL-1-related protein 2 antibody, IL-1F9 antibody, IL-1H1 antibody, IL-1RP2 antibody, IL1E antibody, Il1f9 antibody, IL1F9_HUMAN antibody, IL1H1 antibody, IL1RP2 antibody, IL36 gamma antibody, IL36G antibody, Interleukin 1 epsilon antibody, Interleukin 1 family member 9 antibody, Interleukin 1 homolog 1 antibody, Interleukin 1 related protein 2 antibody, Interleukin 36 gamma antibody, Interleukin-1 epsilon antibody, Interleukin-1 family member 9 antibody, Interleukin-1 homolog 1 antibody

    UniProt

    Q9NZH8
You are here: