电话:
+86 (0512) 65829739
传真:
+86 (010) 6788 5057
电子邮件:
orders@antibodies-online.cn

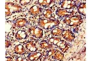
IL23A 抗体 (AA 20-155)

This 兔 多克隆 antibody specifically detects IL23A in ELISA, IHC 和 IF. It exhibits reactivity toward 人.
产品编号 ABIN7156868
发货至: 中国
Contact our Customer Service for availability and price in your country. Contact Info

Our Local Distributor

中国
北京 101111
No. 88 KeChuang 6th Street
Beijing Economic Technological Development Area
Room 801-803
4A Biotech Co.,Ltd.
Tel +86 (0512) 65829739 传真 +86 (010) 6788 5057

Quick Overview for IL23A 抗体 (AA 20-155) (ABIN7156868)

抗原

See all IL23A 抗体
IL23A (Interleukin 23, alpha subunit p19 (IL23A))

适用

  • 56
  • 26
  • 11
  • 1

宿主

  • 42
  • 13
  • 11
  • 2
  • 1

克隆类型

  • 43
  • 26
多克隆

标记

  • 47
  • 6
  • 3
  • 2
  • 2
  • 2
  • 1
  • 1
  • 1
  • 1
  • 1
  • 1
  • 1
This IL23A antibody is un-conjugated

应用范围

  • 39
  • 19
  • 11
  • 8
  • 7
  • 5
  • 4
  • 3
  • 2
  • 1
  • 1
  • 1
  • 1
ELISA, Immunohistochemistry (IHC), Immunofluorescence (IF)
  • 抗原表位

    • 8
    • 7
    • 5
    • 4
    • 3
    • 2
    • 2
    • 2
    • 2
    • 1
    • 1
    • 1
    • 1
    • 1
    AA 20-155

    原理

    IL23A Antibody

    纯化方法

    Protein G purified

    纯度

    >95 %

    免疫原

    Recombinant Human Interleukin-23 subunit alpha protein (20-155AA)

    亚型

    IgG
  • 应用备注

    Optimal working dilution should be determined by the investigator.

    限制

    仅限研究用
  • 状态

    Liquid

    缓冲液

    Preservative: 0.03 % Proclin 300
    Constituents: 50 % Glycerol, 0.01M PBS, pH 7.4

    储存液

    ProClin

    注意事项

    This product contains ProClin: a POISONOUS AND HAZARDOUS SUBSTANCE which should be handled by trained staff only.

    储存条件

    -20 °C,-80 °C

    储存方法

    Upon receipt, store at -20°C or -80°C. Avoid repeated freeze.
  • 抗原

    IL23A (Interleukin 23, alpha subunit p19 (IL23A))

    别名

    IL23A

    背景

    Background: Associates with IL12B to form the IL-23 interleukin, a heterodimeric cytokine which functions in innate and adaptive immunity. IL-23 may constitute with IL-17 an acute response to infection in peripheral tissues. IL-23 binds to a heterodimeric receptor complex composed of IL12RB1 and IL23R, activates the Jak-Stat signaling cascade, stimulates memory rather than naive T-cells and promotes production of proinflammatory cytokines. IL-23 induces autoimmune inflammation and thus may be responsible for autoimmune inflammatory diseases and may be important for tumorigenesis.

    Aliases: IL 23 A antibody, IL 23 antibody, IL 23 subunit alpha antibody, IL 23A antibody, IL 23p19 antibody, IL-23 subunit alpha antibody, IL-23-A antibody, IL-23p19 antibody, IL12B antibody, IL23 antibody, Il23a antibody, IL23A_HUMAN antibody, IL23P19 antibody, interleukin 12B antibody, Interleukin 23 alpha subunit p19 antibody, Interleukin 23 p19 subunit antibody, interleukin 23 subunit alpha antibody, interleukin 23 subunit p19 antibody, interleukin six, G CSF related factor antibody, Interleukin-23 subunit alpha antibody, Interleukin-23 subunit p19 antibody, JKA3 induced upon T cell activation antibody, MGC79388 antibody, P19 antibody, SGRF antibody

    UniProt

    Q9NPF7

    途径

    Regulation of Leukocyte Mediated Immunity, Positive Regulation of Immune Effector Process, Activated T Cell Proliferation
You are here: