电话:
+86 (0512) 65829739
传真:
+86 (010) 6788 5057
电子邮件:
orders@antibodies-online.cn

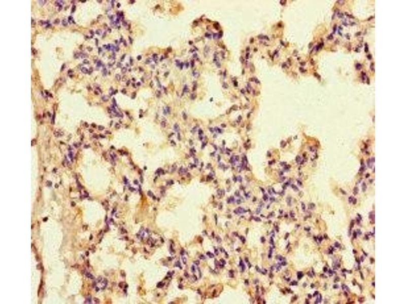
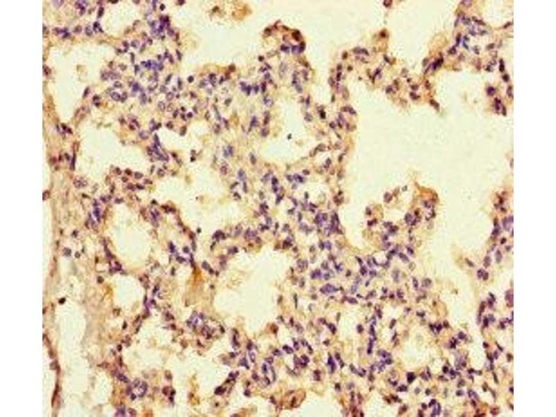
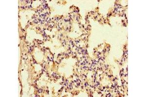
IL-13 抗体 (AA 30-125)

The 兔 多克隆 anti-IL-13 antibody (ABIN7156789) specifically detects IL-13 in ELISA, IHC 和 IF. The antibody is reactive with 人 samples.
产品编号 ABIN7156789
发货至: 中国
Contact our Customer Service for availability and price in your country. Contact Info

Our Local Distributor

中国
北京 101111
No. 88 KeChuang 6th Street
Beijing Economic Technological Development Area
Room 801-803
4A Biotech Co.,Ltd.
Tel +86 (0512) 65829739 传真 +86 (010) 6788 5057

Quick Overview for IL-13 抗体 (AA 30-125) (ABIN7156789)

抗原

See all IL-13 (IL13) 抗体
IL-13 (IL13) (Interleukin 13 (IL13))

适用

  • 112
  • 42
  • 33
  • 4
  • 4
  • 3
  • 2
  • 1
  • 1
  • 1

宿主

  • 85
  • 31
  • 19
  • 17
  • 2

克隆类型

  • 79
  • 67
  • 6
多克隆

标记

  • 91
  • 16
  • 10
  • 8
  • 5
  • 4
  • 2
  • 1
  • 1
  • 1
  • 1
  • 1
  • 1
  • 1
  • 1
  • 1
  • 1
  • 1
  • 1
  • 1
  • 1
  • 1
  • 1
  • 1
This IL-13 antibody is un-conjugated

应用范围

  • 85
  • 66
  • 30
  • 17
  • 16
  • 16
  • 14
  • 13
  • 13
  • 10
  • 8
  • 8
  • 7
  • 6
  • 6
  • 4
  • 4
  • 2
  • 1
  • 1
  • 1
  • 1
  • 1
  • 1
ELISA, Immunohistochemistry (IHC), Immunofluorescence (IF)
  • 抗原表位

    • 15
    • 7
    • 5
    • 4
    • 3
    • 3
    • 3
    • 2
    • 2
    • 2
    • 2
    • 1
    • 1
    • 1
    • 1
    • 1
    • 1
    • 1
    • 1
    • 1
    AA 30-125

    原理

    IL13 Antibody

    纯化方法

    Protein G purified

    纯度

    >95 %

    免疫原

    Recombinant Human Interleukin-13 protein (30-125AA)

    亚型

    IgG
  • 应用备注

    Optimal working dilution should be determined by the investigator.

    限制

    仅限研究用
  • 状态

    Liquid

    缓冲液

    Preservative: 0.03 % Proclin 300
    Constituents: 50 % Glycerol, 0.01M PBS, PH 7.4

    储存液

    ProClin

    注意事项

    This product contains ProClin: a POISONOUS AND HAZARDOUS SUBSTANCE which should be handled by trained staff only.

    储存条件

    -20 °C,-80 °C

    储存方法

    Upon receipt, store at -20°C or -80°C. Avoid repeated freeze.
  • 抗原

    IL-13 (IL13) (Interleukin 13 (IL13))

    别名

    IL13

    背景

    Background: Cytokine (PubMed:8096327, PubMed:8097324). Inhibits inflammatory cytokine production (PubMed:8096327). Synergizes with IL2 in regulating interferon-gamma synthesis (PubMed:8096327). May be critical in regulating inflammatory and immune responses (PubMed:8096327, PubMed:8097324). Positively regulates IL31RA expression in macrophages (By similarity).

    Aliases: Allergic rhinitis antibody, ALRH antibody, BHR 1 antibody, BHR1 antibody, Bronchial hyperresponsiveness 1 (bronchial asthma) antibody, IL 13 antibody, IL-13 antibody, Il13 antibody, IL13_HUMAN antibody, Interleukin 13 antibody, Interleukin-13 antibody, interleukin13 antibody, MGC116786 antibody, MGC116788 antibody, MGC116789 antibody, NC 30 antibody, NC30 antibody, P 600 antibody, P600 antibody

    UniProt

    P35225

    途径

    JAK/STAT Signaling, Positive Regulation of Immune Effector Process, Production of Molecular Mediator of Immune Response, Proton Transport
You are here: