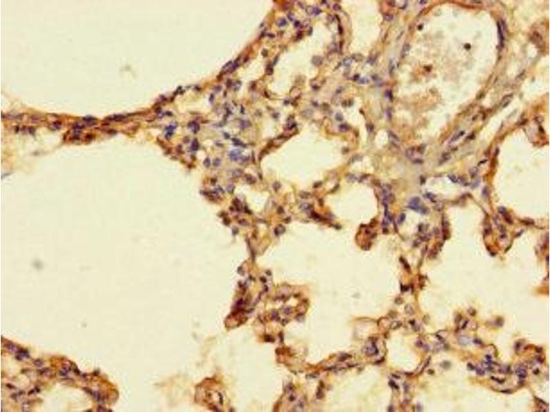
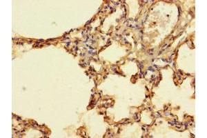
IFI27L2 抗体 (AA 87-130)
Our Local Distributor
北京 101111
Quick Overview for IFI27L2 抗体 (AA 87-130) (ABIN7156574)
抗原
适用
宿主
克隆类型
标记
应用范围
-
-
抗原表位
- AA 87-130
-
原理
- IFI27L2 Antibody
-
纯化方法
- Protein G purified
-
纯度
- >95 %
-
免疫原
- Recombinant Human Interferon alpha-inducible protein 27-like protein 2 protein (87-130AA)
-
亚型
- IgG
-
-
-
-
应用备注
- Optimal working dilution should be determined by the investigator.
-
限制
- 仅限研究用
-
-
-
状态
- Liquid
-
缓冲液
-
Preservative: 0.03 % Proclin 300
Constituents: 50 % Glycerol, 0.01M PBS, PH 7.4 -
储存液
- ProClin
-
注意事项
- This product contains ProClin: a POISONOUS AND HAZARDOUS SUBSTANCE which should be handled by trained staff only.
-
储存条件
- -20 °C,-80 °C
-
储存方法
- Upon receipt, store at -20°C or -80°C. Avoid repeated freeze.
-
-
- IFI27L2 (Interferon, alpha-Inducible Protein 27-Like 2 (IFI27L2))
-
别名
- IFI27L2
-
背景
- IFI27L2 antibody, FAM14A antibody, TLH29 antibody, Interferon alpha-inducible protein 27-like protein 2 antibody, Interferon-stimulated gene 12b protein antibody, ISG12(b) antibody, ISG12B antibody, Protein TLH29 antibody, pIFI27-like protein antibody
-
UniProt
- Q9H2X8
抗原
-