电话:
+86 (0512) 65829739
传真:
+86 (010) 6788 5057
电子邮件:
orders@antibodies-online.cn

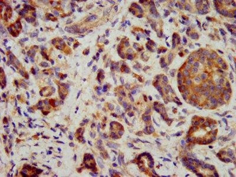
ITGB6 抗体 (AA 451-586)

The 兔 多克隆 anti-ITGB6 antibody is suitable to detect ITGB6 in samples from 人. It has been validated for WB, ELISA, IHC 和 IF.
产品编号 ABIN7156494
发货至: 中国
Contact our Customer Service for availability and price in your country. Contact Info

Our Local Distributor

中国
北京 101111
No. 88 KeChuang 6th Street
Beijing Economic Technological Development Area
Room 801-803
4A Biotech Co.,Ltd.
Tel +86 (0512) 65829739 传真 +86 (010) 6788 5057

Quick Overview for ITGB6 抗体 (AA 451-586) (ABIN7156494)

抗原

See all ITGB6 抗体
ITGB6 (Integrin beta-6 (ITGB6))

适用

  • 43
  • 16
  • 14
  • 1

宿主

  • 35
  • 11
  • 1

克隆类型

  • 26
  • 21
多克隆

标记

  • 26
  • 4
  • 2
  • 2
  • 2
  • 2
  • 2
  • 2
  • 2
  • 1
  • 1
  • 1
This ITGB6 antibody is un-conjugated

应用范围

  • 32
  • 17
  • 13
  • 11
  • 3
  • 3
  • 2
  • 2
  • 1
  • 1
Western Blotting (WB), ELISA, Immunohistochemistry (IHC), Immunofluorescence (IF)
  • 抗原表位

    • 5
    • 4
    • 3
    • 2
    • 1
    • 1
    • 1
    • 1
    • 1
    • 1
    AA 451-586

    原理

    ITGB6 Antibody

    交叉反应

    大鼠

    纯化方法

    Protein G purified

    纯度

    >95 %

    免疫原

    Recombinant Human Integrin beta-6 protein (451-586AA)

    亚型

    IgG
  • 应用备注

    Optimal working dilution should be determined by the investigator.

    限制

    仅限研究用
  • 状态

    Liquid

    缓冲液

    Preservative: 0.03 % Proclin 300
    Constituents: 50 % Glycerol, 0.01M PBS, pH 7.4

    储存液

    ProClin

    注意事项

    This product contains ProClin: a POISONOUS AND HAZARDOUS SUBSTANCE which should be handled by trained staff only.

    储存条件

    -20 °C,-80 °C

    储存方法

    Upon receipt, store at -20°C or -80°C. Avoid repeated freeze.
  • 抗原

    ITGB6 (Integrin beta-6 (ITGB6))

    别名

    ITGB6

    背景

    Background: Integrin alpha-V/beta-6 is a receptor for fibronectin and cytotactin. It recognizes the sequence R-G-D in its ligands. Internalisation of integrin alpha-V/beta-6 via clathrin-mediated endocytosis promotes carcinoma cell invasion. ITGAV:ITGB6 acts as a receptor for fibrillin-1 (FBN1) and mediates R-G-D-dependent cell adhesion to FBN1 (PubMed:17158881).

    Aliases: Integrin beta-6 antibody, ITB6_HUMAN antibody, ITGB6 antibody

    UniProt

    P18564
You are here: