电话:
+86 (0512) 65829739
传真:
+86 (010) 6788 5057
电子邮件:
orders@antibodies-online.cn

HMGCL 抗体 (AA 1-325)

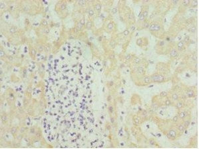
This 兔 多克隆 antibody specifically detects HMGCL in WB, IHC 和 ELISA. It exhibits reactivity toward 人.
产品编号 ABIN7155995
发货至: 中国
Contact our Customer Service for availability and price in your country. Contact Info

Our Local Distributor

中国
北京 101111
No. 88 KeChuang 6th Street
Beijing Economic Technological Development Area
Room 801-803
4A Biotech Co.,Ltd.
Tel +86 (0512) 65829739 传真 +86 (010) 6788 5057

Quick Overview for HMGCL 抗体 (AA 1-325) (ABIN7155995)

抗原

See all HMGCL 抗体
HMGCL (3-Hydroxymethyl-3-Methylglutaryl-CoA Lyase (HMGCL))

适用

  • 56
  • 31
  • 10
  • 6
  • 4
  • 3
  • 3
  • 3
  • 2
  • 2
  • 1
  • 1
  • 1

宿主

  • 71
  • 2

克隆类型

  • 59
  • 14
多克隆

标记

  • 31
  • 5
  • 4
  • 4
  • 2
  • 2
  • 2
  • 2
  • 2
  • 2
  • 2
  • 2
  • 1
  • 1
  • 1
  • 1
  • 1
  • 1
  • 1
  • 1
  • 1
  • 1
  • 1
  • 1
  • 1
This HMGCL antibody is un-conjugated

应用范围

  • 63
  • 27
  • 19
  • 13
  • 13
  • 6
  • 6
  • 4
  • 3
  • 2
  • 1
  • 1
  • 1
  • 1
Western Blotting (WB), Immunohistochemistry (IHC), ELISA
  • 抗原表位

    • 15
    • 8
    • 7
    • 6
    • 4
    • 3
    • 2
    • 2
    • 1
    • 1
    • 1
    • 1
    • 1
    • 1
    • 1
    AA 1-325

    原理

    HMGCL Antibody

    交叉反应

    大鼠

    纯化方法

    Antigen Affinity Purified

    免疫原

    Recombinant Human Hydroxymethylglutaryl-CoA lyase, mitochondrial protein (1-325AA)

    亚型

    IgG
  • 应用备注

    Optimal working dilution should be determined by the investigator.

    限制

    仅限研究用
  • 状态

    Liquid

    缓冲液

    PBS with 0.02 % sodium azide, 50 % glycerol, pH 7.3.

    储存液

    Sodium azide

    注意事项

    This product contains Sodium azide: a POISONOUS AND HAZARDOUS SUBSTANCE which should be handled by trained staff only.

    储存条件

    -20 °C,-80 °C

    储存方法

    Upon receipt, store at -20°C or -80°C. Avoid repeated freeze.
  • 抗原

    HMGCL (3-Hydroxymethyl-3-Methylglutaryl-CoA Lyase (HMGCL))

    别名

    HMGCL

    背景

    Background: Key enzyme in ketogenesis (ketone body formation). Terminal step in leucine catabolism. Ketone bodies (beta-hydroxybutyrate, acetoacetate and acetone) are essential as an alternative source of energy to glucose, as lipid precursors and as regulators of metabolism.

    Aliases: 3 hydroxy 3 methylglutaryl CoA lyase antibody, 3 hydroxy 3 methylglutaryl Coenzyme A lyase antibody, 3 hydroxymethyl 3 methylglutaryl Coenzyme A lyase (hydroxymethylglutaricaciduria) antibody, 3 hydroxymethyl 3 methylglutaryl Coenzyme A lyase antibody, 3-hydroxy-3-methylglutarate-CoA lyase antibody, HL antibody, HMG CoA lyase antibody, HMG CoA Lyase Deficiency antibody, HMG-CoA lyase antibody, HMGCL antibody, HMGCL_HUMAN antibody, Hydroxymethylglutaricaciduria antibody, Hydroxymethylglutaryl CoA lyase antibody, Hydroxymethylglutaryl CoA lyase mitochondrial antibody, Hydroxymethylglutaryl-CoA lyase antibody, Mitochondrial 3 hydroxy 3 methylglutaryl CoA lyase antibody, mitochondrial antibody, MS725 antibody, OTTHUMP00000044830 antibody

    UniProt

    P35914
You are here: