电话:
+86 (0512) 65829739
传真:
+86 (010) 6788 5057
电子邮件:
orders@antibodies-online.cn

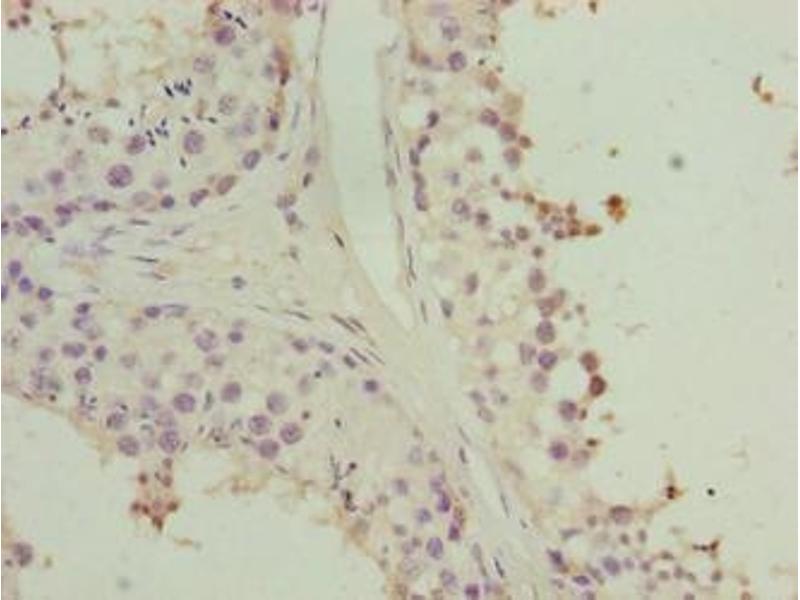
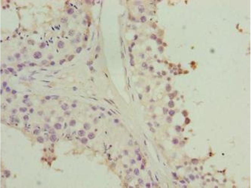
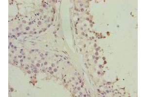
HORMAD2 抗体 (AA 14-307)

The 兔 多克隆 anti-HORMAD2 antibody (ABIN7155901) specifically detects HORMAD2 in ELISA 和 IHC. The antibody is reactive with 人 samples.
产品编号 ABIN7155901
发货至: 中国
Contact our Customer Service for availability and price in your country. Contact Info

Our Local Distributor

中国
北京 101111
No. 88 KeChuang 6th Street
Beijing Economic Technological Development Area
Room 801-803
4A Biotech Co.,Ltd.
Tel +86 (0512) 65829739 传真 +86 (010) 6788 5057

Quick Overview for HORMAD2 抗体 (AA 14-307) (ABIN7155901)

抗原

See all HORMAD2 抗体
HORMAD2 (HORMA Domain Containing 2 (HORMAD2))

适用

  • 16
  • 5
  • 4
  • 3
  • 3
  • 3
  • 2
  • 2
  • 2
  • 1
  • 1

宿主

  • 14
  • 2

克隆类型

  • 15
  • 1
多克隆

标记

  • 12
  • 2
  • 1
  • 1
This HORMAD2 antibody is un-conjugated

应用范围

  • 10
  • 7
  • 2
ELISA, Immunohistochemistry (IHC)
  • 抗原表位

    • 4
    • 2
    • 2
    • 1
    • 1
    AA 14-307

    原理

    HORMAD2 Antibody

    纯化方法

    Protein G purified

    纯度

    >95 %

    免疫原

    Recombinant Human HORMA domain-containing protein 2 protein (14-307AA)

    亚型

    IgG
  • 应用备注

    Optimal working dilution should be determined by the investigator.

    限制

    仅限研究用
  • 状态

    Liquid

    缓冲液

    Preservative: 0.03 % Proclin 300
    Constituents: 50 % Glycerol, 0.01M PBS, PH 7.4

    储存液

    ProClin

    注意事项

    This product contains ProClin: a POISONOUS AND HAZARDOUS SUBSTANCE which should be handled by trained staff only.

    储存条件

    -20 °C,-80 °C

    储存方法

    Upon receipt, store at -20°C or -80°C. Avoid repeated freeze.
  • 抗原

    HORMAD2 (HORMA Domain Containing 2 (HORMAD2))

    别名

    HORMAD2

    背景

    Background: Essential for synapsis surveillance during meiotic prophase via the recruitment of ATR activity. Plays a key role in the male mid-pachytene checkpoint and the female meiotic prophase checkpoint: required for efficient build-up of ATR activity on unsynapsed chromosome regions, a process believed to form the basis of meiotic silencing of unsynapsed chromatin (MSUC) and meiotic prophase quality control in both sexes. Required for the DNA double-strand break-independent, BRCA1-dependent activation of ATR on the sex chromosomes that is essential for normal sex body formation.

    Aliases: 4930529M09Rik antibody, CT46.2 antibody, HORM2_HUMAN antibody, HORMA domain containing 2 antibody, HORMA domain-containing protein 2 antibody, Hormad2 antibody, MGC26710 antibody, RP23-329P17.4 antibody

    UniProt

    Q8N7B1
You are here: