电话:
+86 (0512) 65829739
传真:
+86 (010) 6788 5057
电子邮件:
orders@antibodies-online.cn

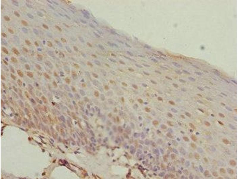
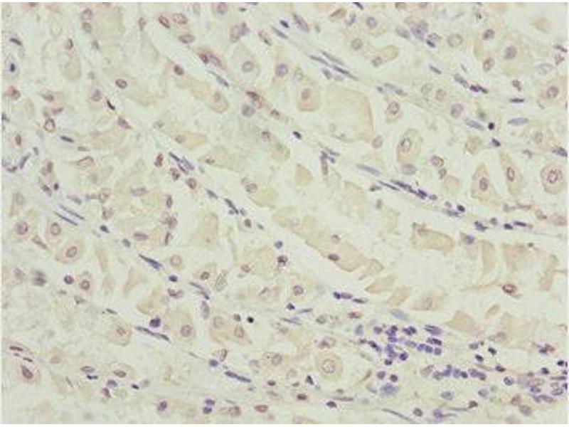
MEOX1 抗体 (AA 1-254)

The 兔 多克隆 anti-MEOX1 antibody is suitable to detect MEOX1 in samples from 人. It has been validated for ELISA 和 IHC.
产品编号 ABIN7155798
发货至: 中国
Contact our Customer Service for availability and price in your country. Contact Info

Our Local Distributor

中国
北京 101111
No. 88 KeChuang 6th Street
Beijing Economic Technological Development Area
Room 801-803
4A Biotech Co.,Ltd.
Tel +86 (0512) 65829739 传真 +86 (010) 6788 5057

Quick Overview for MEOX1 抗体 (AA 1-254) (ABIN7155798)

抗原

See all MEOX1 抗体
MEOX1 (Mesenchyme Homeobox 1 (MEOX1))

适用

  • 49
  • 16
  • 13
  • 3
  • 2
  • 2
  • 2
  • 2
  • 2
  • 1

宿主

  • 40
  • 9

克隆类型

  • 41
  • 8
多克隆

标记

  • 32
  • 3
  • 2
  • 2
  • 2
  • 2
  • 1
  • 1
  • 1
  • 1
  • 1
  • 1
This MEOX1 antibody is un-conjugated

应用范围

  • 41
  • 25
  • 13
  • 8
  • 5
  • 2
  • 1
  • 1
ELISA, Immunohistochemistry (IHC)
  • 抗原表位

    • 8
    • 8
    • 4
    • 3
    • 3
    • 2
    • 2
    • 2
    • 1
    • 1
    • 1
    • 1
    • 1
    • 1
    • 1
    • 1
    • 1
    AA 1-254

    原理

    MEOX1 Antibody

    纯化方法

    Antigen Affinity Purified

    免疫原

    Recombinant Human Homeobox protein MOX-1 protein (1-254AA)

    亚型

    IgG
  • 应用备注

    Optimal working dilution should be determined by the investigator.

    限制

    仅限研究用
  • 状态

    Liquid

    缓冲液

    PBS with 0.02 % sodium azide, 50 % glycerol, pH 7.3.

    储存液

    Sodium azide

    注意事项

    This product contains Sodium azide: a POISONOUS AND HAZARDOUS SUBSTANCE which should be handled by trained staff only.

    储存条件

    -20 °C,-80 °C

    储存方法

    Upon receipt, store at -20°C or -80°C. Avoid repeated freeze.
  • 抗原

    MEOX1 (Mesenchyme Homeobox 1 (MEOX1))

    别名

    MEOX1

    背景

    Background: Mesodermal transcription factor that plays a key role in somitogenesis and is specifically required for sclerotome development. Required for maintenance of the sclerotome polarity and formation of the cranio-cervical joints (PubMed:23290072, PubMed:24073994). Binds specifically to the promoter of target genes and regulates their expression. Activates expression of NKX3-2 in the sclerotome. Activates expression of CDKN1A and CDKN2A in endothelial cells, acting as a regulator of vascular cell proliferation. While it activates CDKN1A in a DNA-dependent manner, it activates CDKN2A in a DNA-independent manner. Required for hematopoietic stem cell (HSCs) induction via its role in somitogenesis: specification of HSCs occurs via the deployment of a specific endothelial precursor population, which arises within a sub-compartment of the somite named endotome.

    Aliases: Homeobox protein MOX-1 antibody, MEOX1 antibody, MEOX1_HUMAN antibody, Mesenchyme homeo box 1 antibody, Mesenchyme homeobox 1 antibody, MOX 1 antibody, MOX1 antibody

    UniProt

    P50221

    途径

    Chromatin Binding
You are here: