电话:
+86 (0512) 65829739
传真:
+86 (010) 6788 5057
电子邮件:
orders@antibodies-online.cn

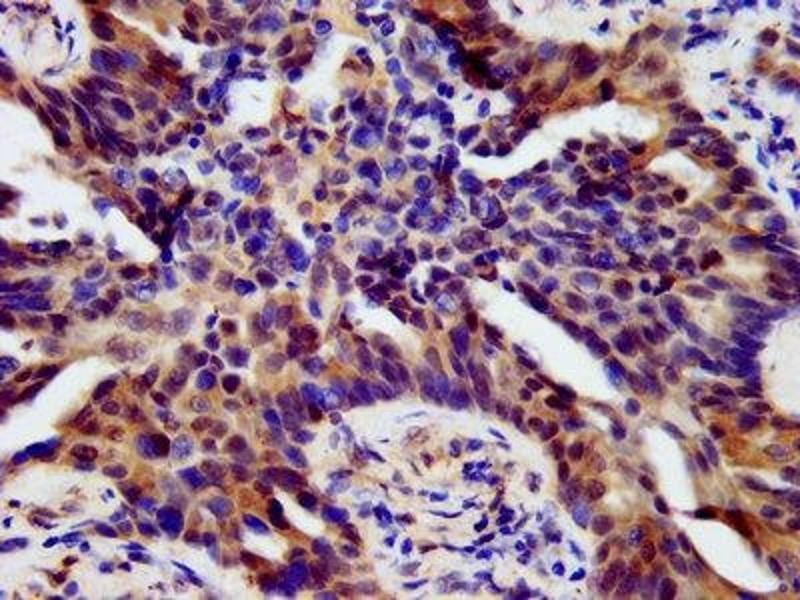
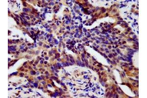
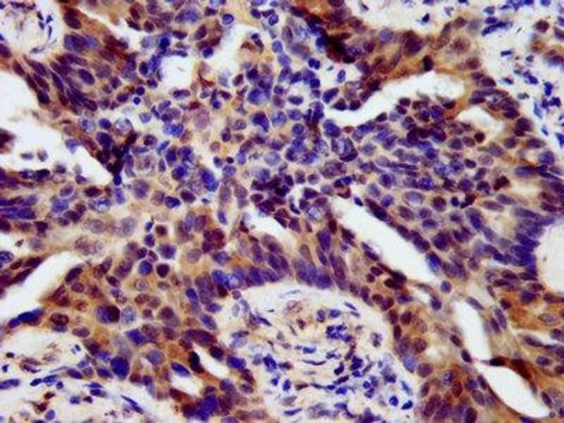
HOXB4 抗体 (AA 88-166)

The 兔 多克隆 anti-HOXB4 antibody (ABIN7155739) specifically detects HOXB4 in ELISA, IF 和 IHC. The antibody is reactive with 人 samples.
产品编号 ABIN7155739
发货至: 中国
Contact our Customer Service for availability and price in your country. Contact Info

Our Local Distributor

中国
北京 101111
No. 88 KeChuang 6th Street
Beijing Economic Technological Development Area
Room 801-803
4A Biotech Co.,Ltd.
Tel +86 (0512) 65829739 传真 +86 (010) 6788 5057

Quick Overview for HOXB4 抗体 (AA 88-166) (ABIN7155739)

抗原

See all HOXB4 抗体
HOXB4 (Homeobox B4 (HOXB4))

适用

  • 57
  • 52
  • 33
  • 6
  • 5
  • 3
  • 3
  • 2
  • 2
  • 2
  • 1
  • 1
  • 1
  • 1
  • 1
  • 1

宿主

  • 61
  • 2
  • 1

克隆类型

  • 50
  • 14
多克隆

标记

  • 25
  • 4
  • 4
  • 3
  • 2
  • 2
  • 2
  • 2
  • 2
  • 2
  • 2
  • 1
  • 1
  • 1
  • 1
  • 1
  • 1
  • 1
  • 1
  • 1
  • 1
  • 1
  • 1
  • 1
  • 1
This HOXB4 antibody is un-conjugated

应用范围

  • 52
  • 20
  • 15
  • 13
  • 13
  • 11
  • 11
  • 10
  • 3
  • 3
  • 1
ELISA, Immunofluorescence (IF), Immunohistochemistry (IHC)
  • 抗原表位

    • 16
    • 7
    • 4
    • 3
    • 3
    • 2
    • 1
    • 1
    • 1
    • 1
    • 1
    • 1
    • 1
    • 1
    • 1
    AA 88-166

    原理

    HOXB4 Antibody

    纯化方法

    Protein G purified

    纯度

    >95 %

    免疫原

    Recombinant Human Homeobox protein Hox-B4 protein (88-166AA)

    亚型

    IgG
  • 应用备注

    Optimal working dilution should be determined by the investigator.

    限制

    仅限研究用
  • 状态

    Liquid

    缓冲液

    Preservative: 0.03 % Proclin 300
    Constituents: 50 % Glycerol, 0.01M PBS, pH 7.4

    储存液

    ProClin

    注意事项

    This product contains ProClin: a POISONOUS AND HAZARDOUS SUBSTANCE which should be handled by trained staff only.

    储存条件

    -20 °C,-80 °C

    储存方法

    Upon receipt, store at -20°C or -80°C. Avoid repeated freeze.
  • 抗原

    HOXB4 (Homeobox B4 (HOXB4))

    别名

    HOXB4

    背景

    Background: Sequence-specific transcription factor which is part of a developmental regulatory system that provides cells with specific positional identities on the anterior-posterior axis.

    Aliases: Homeo box 2F antibody, Homeo box B4 antibody, Homeobox 2F antibody, Homeobox B4 antibody, Homeobox protein Hox B4 antibody, Homeobox protein Hox-2.6 antibody, Homeobox protein Hox-2F antibody, Homeobox protein Hox-B4 antibody, Homeobox protein HoxB4 antibody, HOX 2 antibody, Hox 2.6 antibody, Hox 2F antibody, HOX B4 antibody, HOX2 antibody, Hox2.6 antibody, Hox2F antibody, HOXB 4 antibody, hoxb4 antibody, HXB4_HUMAN antibody

    UniProt

    P17483
You are here: