电话:
+86 (0512) 65829739
传真:
+86 (010) 6788 5057
电子邮件:
orders@antibodies-online.cn

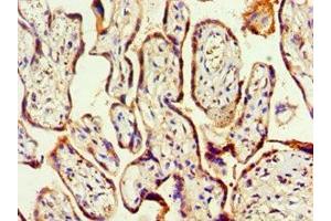
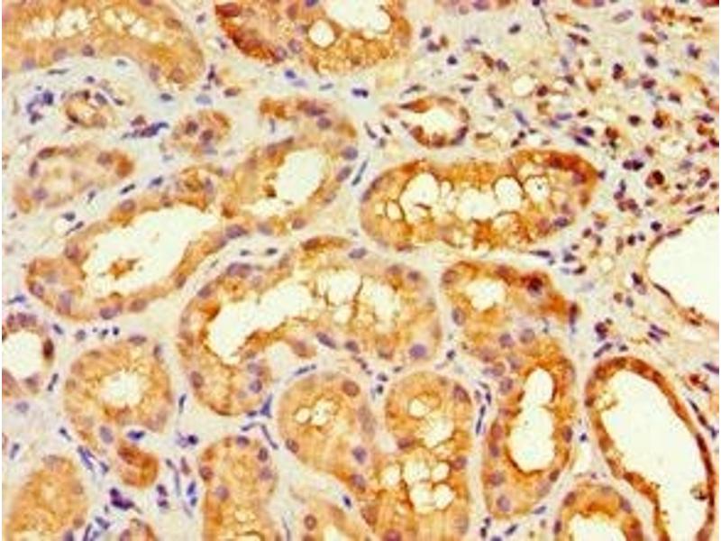
HOXA9 抗体 (AA 1-190)

The 兔 多克隆 anti-HOXA9 antibody is suitable to detect HOXA9 in samples from 人. It has been validated for ELISA, IHC 和 IF.
产品编号 ABIN7155729
发货至: 中国
Contact our Customer Service for availability and price in your country. Contact Info

Our Local Distributor

中国
北京 101111
No. 88 KeChuang 6th Street
Beijing Economic Technological Development Area
Room 801-803
4A Biotech Co.,Ltd.
Tel +86 (0512) 65829739 传真 +86 (010) 6788 5057

Quick Overview for HOXA9 抗体 (AA 1-190) (ABIN7155729)

抗原

See all HOXA9 抗体
HOXA9 (Homeobox A9 (HOXA9))

适用

  • 45
  • 31
  • 15
  • 3
  • 3
  • 3
  • 2
  • 2
  • 2
  • 2
  • 1
  • 1
  • 1
  • 1
  • 1
  • 1
  • 1

宿主

  • 45
  • 6
  • 2

克隆类型

  • 46
  • 7
多克隆

标记

  • 34
  • 3
  • 2
  • 2
  • 2
  • 2
  • 2
  • 2
  • 1
  • 1
  • 1
  • 1
This HOXA9 antibody is un-conjugated

应用范围

  • 36
  • 19
  • 10
  • 5
  • 4
  • 4
  • 2
  • 1
  • 1
  • 1
ELISA, Immunohistochemistry (IHC), Immunofluorescence (IF)
  • 抗原表位

    • 8
    • 5
    • 5
    • 4
    • 2
    • 2
    • 2
    • 2
    • 2
    • 1
    • 1
    • 1
    • 1
    • 1
    • 1
    • 1
    • 1
    AA 1-190

    原理

    HOXA9 Antibody

    纯化方法

    Antigen Affinity Purified

    免疫原

    Recombinant Human Homeobox protein Hox-A9 protein (1-190AA)

    亚型

    IgG
  • 应用备注

    Optimal working dilution should be determined by the investigator.

    限制

    仅限研究用
  • 状态

    Liquid

    缓冲液

    PBS with 0.02 % sodium azide, 50 % glycerol, pH 7.3.

    储存液

    Sodium azide

    注意事项

    This product contains Sodium azide: a POISONOUS AND HAZARDOUS SUBSTANCE which should be handled by trained staff only.

    储存条件

    -20 °C,-80 °C

    储存方法

    Upon receipt, store at -20°C or -80°C. Avoid repeated freeze.
  • 抗原

    HOXA9 (Homeobox A9 (HOXA9))

    别名

    HOXA9

    背景

    Background: Sequence-specific transcription factor which is part of a developmental regulatory system that provides cells with specific positional identities on the anterior-posterior axis. Required for induction of E-selectin and VCAM-1, on the endothelial cells surface at sites of inflammation.

    Aliases: ABD-B antibody, Abd-B, drosophila, homolog of antibody, D6a9 antibody, Homeobox 1G antibody, Homeobox A9 antibody, Homeobox protein Hox-1.7 antibody, Homeobox protein Hox-1G antibody, Homeobox protein Hox-A9 antibody, Homeodomain protein HOXA9 antibody, Hox-1.7 antibody, Hox-1.7, mouse, homolog of antibody, HOX1 antibody, Hox1.7 antibody, Hox1G antibody, Hox1r5 antibody, Hoxa-9 antibody, Hoxa7 antibody, HOXA9 antibody, HOXA9/MSI2 fusion gene, included antibody, HOXA9/NUP98 fusion gene, included antibody, HXA9_HUMAN antibody, MGC1934 antibody

    UniProt

    P31269
You are here: