电话:
+86 (0512) 65829739
传真:
+86 (010) 6788 5057
电子邮件:
orders@antibodies-online.cn

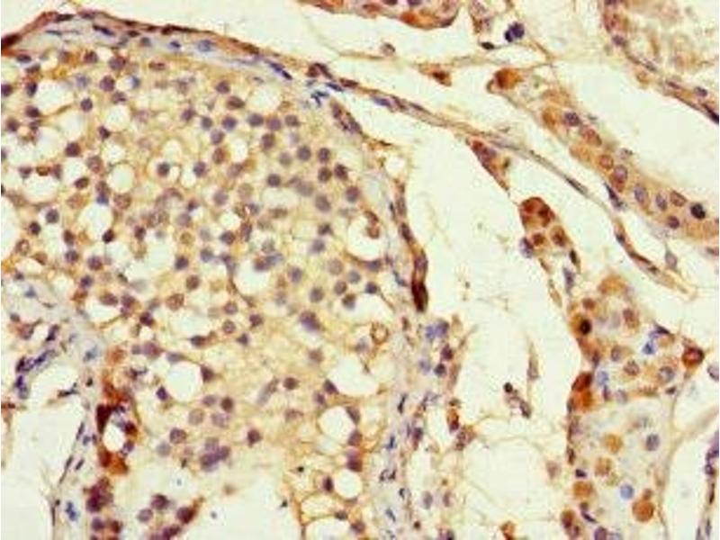
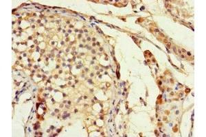
DLX5 抗体 (AA 1-249)

The 兔 多克隆 anti-DLX5 antibody (ABIN7155679) specifically detects DLX5 in ELISA, IHC 和 IF. The antibody is reactive with 人 samples.
产品编号 ABIN7155679
发货至: 中国
Contact our Customer Service for availability and price in your country. Contact Info

Our Local Distributor

中国
北京 101111
No. 88 KeChuang 6th Street
Beijing Economic Technological Development Area
Room 801-803
4A Biotech Co.,Ltd.
Tel +86 (0512) 65829739 传真 +86 (010) 6788 5057

Quick Overview for DLX5 抗体 (AA 1-249) (ABIN7155679)

抗原

See all DLX5 抗体
DLX5 (Distal-Less Homeobox 5 (DLX5))

适用

  • 60
  • 33
  • 33
  • 9
  • 8
  • 8
  • 8
  • 7
  • 6
  • 5
  • 4
  • 4
  • 3
  • 2
  • 2
  • 1

宿主

  • 51
  • 7
  • 1
  • 1

克隆类型

  • 42
  • 18
多克隆

标记

  • 35
  • 4
  • 3
  • 2
  • 2
  • 2
  • 2
  • 2
  • 2
  • 2
  • 1
  • 1
  • 1
  • 1
This DLX5 antibody is un-conjugated

应用范围

  • 44
  • 36
  • 24
  • 20
  • 14
  • 12
  • 7
  • 1
ELISA, Immunohistochemistry (IHC), Immunofluorescence (IF)
  • 抗原表位

    • 8
    • 6
    • 4
    • 4
    • 3
    • 3
    • 3
    • 3
    • 1
    • 1
    • 1
    • 1
    • 1
    • 1
    • 1
    • 1
    • 1
    AA 1-249

    原理

    DLX5 Antibody

    纯化方法

    Protein G purified

    纯度

    >95 %

    免疫原

    Recombinant Human Homeobox protein DLX-5 protein (1-249AA)

    亚型

    IgG
  • 应用备注

    Optimal working dilution should be determined by the investigator.

    限制

    仅限研究用
  • 状态

    Liquid

    缓冲液

    Preservative: 0.03 % Proclin 300
    Constituents: 50 % Glycerol, 0.01M PBS, PH 7.4

    储存液

    ProClin

    注意事项

    This product contains ProClin: a POISONOUS AND HAZARDOUS SUBSTANCE which should be handled by trained staff only.

    储存条件

    -20 °C,-80 °C

    储存方法

    Upon receipt, store at -20°C or -80°C. Avoid repeated freeze.
  • 抗原

    DLX5 (Distal-Less Homeobox 5 (DLX5))

    别名

    DLX5

    背景

    Background: Transcriptional factor involved in bone development. Acts as an immediate early BMP-responsive transcriptional activator essential for osteoblast differentiation. Stimulates ALPL promoter activity in a RUNX2-independent manner during osteoblast differentiation. Stimulates SP7 promoter activity during osteoblast differentiation. Promotes cell proliferation by up-regulating MYC promoter activity. Involved as a positive regulator of both chondrogenesis and chondrocyte hypertrophy in the endochondral skeleton. Binds to the homeodomain-response element of the ALPL and SP7 promoter. Binds to the MYC promoter. Requires the 5\'-TAATTA-3\' consensus sequence for DNA-binding.

    Aliases: DLX5Homeobox protein DLX-5 antibody

    UniProt

    P56178
You are here: