电话:
+86 (0512) 65829739
传真:
+86 (010) 6788 5057
电子邮件:
orders@antibodies-online.cn

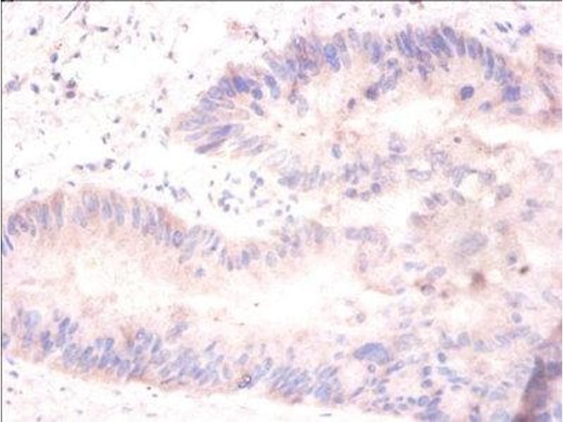
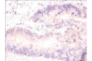
H2AFJ 抗体 (AA 2-129)

This 兔 多克隆 antibody specifically detects H2AFJ in WB, ELISA 和 IHC. It exhibits reactivity toward 人.
产品编号 ABIN7155377
发货至: 中国
Contact our Customer Service for availability and price in your country. Contact Info

Our Local Distributor

中国
北京 101111
No. 88 KeChuang 6th Street
Beijing Economic Technological Development Area
Room 801-803
4A Biotech Co.,Ltd.
Tel +86 (0512) 65829739 传真 +86 (010) 6788 5057

Quick Overview for H2AFJ 抗体 (AA 2-129) (ABIN7155377)

抗原

See all H2AFJ 抗体
H2AFJ (H2A Histone Family, Member J (H2AFJ))

适用

  • 36
  • 7
  • 5
  • 3
  • 3
  • 3
  • 3
  • 2
  • 1
  • 1
  • 1
  • 1
  • 1
  • 1

宿主

  • 36

克隆类型

  • 36
多克隆

标记

  • 15
  • 5
  • 5
  • 3
  • 1
  • 1
  • 1
  • 1
  • 1
  • 1
  • 1
  • 1
This H2AFJ antibody is un-conjugated

应用范围

  • 26
  • 14
  • 8
  • 4
  • 2
  • 1
  • 1
  • 1
Western Blotting (WB), ELISA, Immunohistochemistry (IHC)
  • 抗原表位

    • 9
    • 5
    • 4
    • 4
    • 1
    • 1
    • 1
    AA 2-129

    原理

    H2AFJ Antibody

    交叉反应

    小鼠

    纯化方法

    Protein G purified

    纯度

    >95 %

    免疫原

    Recombinant Human Histone H2A.J protein (2-129AA)

    亚型

    IgG
  • 应用备注

    Optimal working dilution should be determined by the investigator.

    限制

    仅限研究用
  • 状态

    Liquid

    缓冲液

    Preservative: 0.1Mol/L NaCl, 15mmol/L Sodium azide, PH7.2

    储存液

    Sodium azide

    注意事项

    This product contains Sodium azide: a POISONOUS AND HAZARDOUS SUBSTANCE which should be handled by trained staff only.

    储存条件

    -20 °C,-80 °C

    储存方法

    Upon receipt, store at -20°C or -80°C. Avoid repeated freeze.
  • 抗原

    H2AFJ (H2A Histone Family, Member J (H2AFJ))

    别名

    H2AFJ

    背景

    Background: Core component of nucleosome. Nucleosomes wrap and compact DNA into chromatin, limiting DNA accessibility to the cellular machineries which require DNA as a template. Histones thereby play a central role in transcription regulation, DNA repair, DNA replication and chromosomal stability. DNA accessibility is regulated via a complex set of post-translational modifications of histones, also called histone code, and nucleosome remodeling.

    Aliases: H2AFJ antibody, Histone H2A.J antibody, H2a/j antibody

    UniProt

    Q9BTM1
You are here: