电话:
+86 (0512) 65829739
传真:
+86 (010) 6788 5057
电子邮件:
orders@antibodies-online.cn

HMGN3 抗体 (AA 1-77)

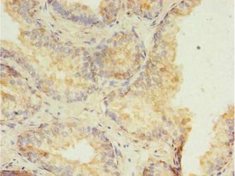
The 兔 多克隆 anti-HMGN3 antibody (ABIN7155196) specifically detects HMGN3 in ELISA 和 IHC. The antibody is reactive with 人 samples.
产品编号 ABIN7155196
发货至: 中国
Contact our Customer Service for availability and price in your country. Contact Info

Our Local Distributor

中国
北京 101111
No. 88 KeChuang 6th Street
Beijing Economic Technological Development Area
Room 801-803
4A Biotech Co.,Ltd.
Tel +86 (0512) 65829739 传真 +86 (010) 6788 5057

Quick Overview for HMGN3 抗体 (AA 1-77) (ABIN7155196)

抗原

See all HMGN3 抗体
HMGN3 (High Mobility Group Nucleosomal Binding Domain 3 (HMGN3))

适用

  • 35
  • 14
  • 7
  • 6
  • 5
  • 5
  • 5
  • 4
  • 2
  • 2
  • 2
  • 2
  • 1
  • 1
  • 1

宿主

  • 34
  • 1

克隆类型

  • 34
  • 1
多克隆

标记

  • 19
  • 3
  • 3
  • 2
  • 1
  • 1
  • 1
  • 1
  • 1
  • 1
  • 1
  • 1
This HMGN3 antibody is un-conjugated

应用范围

  • 19
  • 13
  • 4
  • 3
  • 2
  • 2
  • 2
  • 1
ELISA, Immunohistochemistry (IHC)
  • 抗原表位

    • 10
    • 5
    • 4
    • 3
    • 2
    • 2
    • 1
    • 1
    • 1
    AA 1-77

    原理

    HMGN3 Antibody

    纯化方法

    Protein G purified

    纯度

    >95 %

    免疫原

    Recombinant Human High mobility group nucleosome-binding domain-containing protein 3 protein (1-77AA)

    亚型

    IgG
  • 应用备注

    Optimal working dilution should be determined by the investigator.

    限制

    仅限研究用
  • 状态

    Liquid

    缓冲液

    Preservative: 0.03 % Proclin 300
    Constituents: 50 % Glycerol, 0.01M PBS, PH 7.4

    储存液

    ProClin

    注意事项

    This product contains ProClin: a POISONOUS AND HAZARDOUS SUBSTANCE which should be handled by trained staff only.

    储存条件

    -20 °C,-80 °C

    储存方法

    Upon receipt, store at -20°C or -80°C. Avoid repeated freeze.
  • 抗原

    HMGN3 (High Mobility Group Nucleosomal Binding Domain 3 (HMGN3))

    别名

    HMGN3

    背景

    Background: Binds to nucleosomes, regulating chromatin structure and consequently, chromatin-dependent processes such as transcription, DNA replication and DNA repair. Affects both insulin and glucagon levels and modulates the expression of pancreatic genes involved in insulin secretion. Regulates the expression of the glucose transporter SLC2A2 by binding specifically to its promoter region and recruiting PDX1 and additional transcription factors. Regulates the expression of SLC6A9, a glycine transporter which regulates the glycine concentration in synaptic junctions in the central nervous system, by binding to its transcription start site. May play a role in ocular development and astrocyte function (By similarity).

    Aliases: DKFZp686E20226 antibody, FLJ42187 antibody, High mobility group nucleosomal binding domain 3 antibody, High mobility group nucleosome-binding domain-containing protein 3 antibody, HMGN3 antibody, HMGN3_HUMAN antibody, OTTHUMP00000016772 antibody, OTTHUMP00000016773 antibody, PNAS 24 antibody, PNAS 25 antibody, PNAS24 antibody, PNAS25 antibody, Thyroid hormone receptor interacting protein 7 antibody, Thyroid receptor-interacting protein 7 antibody, TR-interacting protein 7 antibody, TRIP 7 antibody, TRIP-7 antibody, TRIP7 antibody

    UniProt

    Q15651
You are here: