电话:
+86 (0512) 65829739
传真:
+86 (010) 6788 5057
电子邮件:
orders@antibodies-online.cn

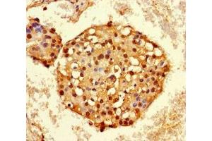
HNRNPA2B1 抗体 (AA 1-249)

The 兔 多克隆 anti-HNRNPA2B1 antibody is suitable to detect HNRNPA2B1 in samples from 人. It has been validated for ELISA, IHC 和 IF.
产品编号 ABIN7155138
发货至: 中国
Contact our Customer Service for availability and price in your country. Contact Info

Our Local Distributor

中国
北京 101111
No. 88 KeChuang 6th Street
Beijing Economic Technological Development Area
Room 801-803
4A Biotech Co.,Ltd.
Tel +86 (0512) 65829739 传真 +86 (010) 6788 5057

Quick Overview for HNRNPA2B1 抗体 (AA 1-249) (ABIN7155138)

抗原

See all HNRNPA2B1 抗体
HNRNPA2B1 (Heterogeneous Nuclear Ribonucleoprotein A2/B1 (HNRNPA2B1))

适用

  • 64
  • 38
  • 33
  • 4
  • 4
  • 3
  • 2
  • 2
  • 2
  • 1

宿主

  • 48
  • 15
  • 1

克隆类型

  • 49
  • 15
多克隆

标记

  • 32
  • 6
  • 4
  • 3
  • 1
  • 1
  • 1
  • 1
  • 1
  • 1
  • 1
  • 1
  • 1
  • 1
  • 1
  • 1
  • 1
  • 1
  • 1
  • 1
  • 1
  • 1
  • 1
This HNRNPA2B1 antibody is un-conjugated

应用范围

  • 52
  • 24
  • 19
  • 19
  • 13
  • 9
  • 8
  • 4
  • 2
  • 1
  • 1
  • 1
ELISA, Immunohistochemistry (IHC), Immunofluorescence (IF)
  • 抗原表位

    • 8
    • 6
    • 4
    • 2
    • 1
    • 1
    • 1
    • 1
    AA 1-249

    原理

    HNRNPA2B1 Antibody

    纯化方法

    Protein G purified

    纯度

    >95 %

    免疫原

    Recombinant Human Heterogeneous nuclear ribonucleoproteins A2/B1 protein (1-249AA)

    亚型

    IgG
  • 应用备注

    Optimal working dilution should be determined by the investigator.

    限制

    仅限研究用
  • 状态

    Liquid

    缓冲液

    Preservative: 0.03 % Proclin 300
    Constituents: 50 % Glycerol, 0.01M PBS, PH 7.4

    储存液

    ProClin

    注意事项

    This product contains ProClin: a POISONOUS AND HAZARDOUS SUBSTANCE which should be handled by trained staff only.

    储存条件

    -20 °C,-80 °C

    储存方法

    Upon receipt, store at -20°C or -80°C. Avoid repeated freeze.
  • 抗原

    HNRNPA2B1 (Heterogeneous Nuclear Ribonucleoprotein A2/B1 (HNRNPA2B1))

    别名

    HNRNPA2B1

    背景

    Background: Involved with pre-mRNA processing. Forms complexes (ribonucleosomes) with at least 20 other different hnRNP and heterogeneous nuclear RNA in the nucleus.

    Aliases: Heterogeneous nuclear ribonucleoprotein A2 antibody, Heterogeneous nuclear ribonucleoprotein A2/B1 antibody, Heterogeneous nuclear ribonucleoprotein B1 antibody, Heterogeneous nuclear ribonucleoproteins A2/B1 antibody, hnRNP A2 / hnRNP B1 antibody, hnRNP A2 antibody, hnRNP A2/B1 antibody, hnRNP B1 antibody, hnRNP-A2 antibody, hnRNP-B1 antibody, hnRNPA2 antibody, Hnrnpa2b1 antibody, hnRNPB1 antibody, HNRPA2 antibody, HNRPA2B1 antibody, HNRPB1 antibody, Nuclear ribonucleoprotein particle A2 protein antibody, RNP A2 antibody, RNP B1 antibody, RNP-A2 antibody, RNP-B1 antibody, RNPA2 antibody, RNPB1 antibody, ROA2_HUMAN antibody, SNRPB1 antibody

    UniProt

    P22626
You are here: