电话:
+86 (0512) 65829739
传真:
+86 (010) 6788 5057
电子邮件:
orders@antibodies-online.cn

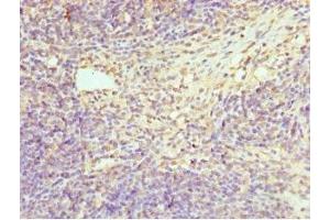
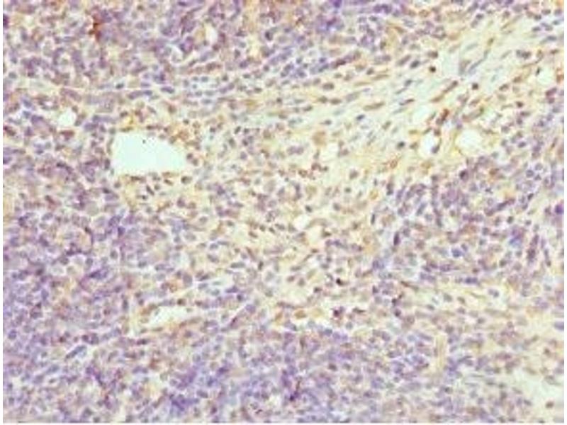
HPS1 抗体 (AA 1-324)

The 兔 多克隆 anti-HPS1 antibody (ABIN7155076) specifically detects HPS1 in IHC 和 ELISA. The antibody is reactive with 人 samples.
产品编号 ABIN7155076
发货至: 中国
Contact our Customer Service for availability and price in your country. Contact Info

Our Local Distributor

中国
北京 101111
No. 88 KeChuang 6th Street
Beijing Economic Technological Development Area
Room 801-803
4A Biotech Co.,Ltd.
Tel +86 (0512) 65829739 传真 +86 (010) 6788 5057

Quick Overview for HPS1 抗体 (AA 1-324) (ABIN7155076)

抗原

See all HPS1 抗体
HPS1 (Hermansky-Pudlak Syndrome 1 (HPS1))

适用

  • 13
  • 3
  • 2

宿主

  • 12
  • 2

克隆类型

  • 12
  • 2
多克隆

标记

  • 7
  • 1
  • 1
  • 1
  • 1
  • 1
  • 1
  • 1
This HPS1 antibody is un-conjugated

应用范围

  • 5
  • 4
  • 3
  • 2
  • 1
  • 1
Immunohistochemistry (IHC), ELISA
  • 抗原表位

    • 1
    • 1
    AA 1-324

    原理

    HPS1 Antibody

    纯化方法

    Antigen Affinity Purified

    免疫原

    Recombinant Human Hermansky-Pudlak syndrome 1 protein (1-324AA)

    亚型

    IgG
  • 应用备注

    Optimal working dilution should be determined by the investigator.

    限制

    仅限研究用
  • 状态

    Liquid

    缓冲液

    PBS with 0.02 % sodium azide, 50 % glycerol, pH 7.3.

    储存液

    Sodium azide

    注意事项

    This product contains Sodium azide: a POISONOUS AND HAZARDOUS SUBSTANCE which should be handled by trained staff only.

    储存条件

    -20 °C,-80 °C

    储存方法

    Upon receipt, store at -20°C or -80°C. Avoid repeated freeze.
  • 抗原

    HPS1 (Hermansky-Pudlak Syndrome 1 (HPS1))

    别名

    HPS1

    背景

    Background: Component of multiple cytoplasmic organelles. Apparently crucial for their normal development and function. May be involved in intracellular protein sorting.

    Aliases: Hermansky Pudlak syndrome 1 protein antibody, Hermansky Pudlak syndrome gene antibody, Hermansky Pudlak syndrome type 1 antibody, Hermansky-Pudlak syndrome 1 antibody, Hermansky-Pudlak syndrome 1 protein antibody, HPS antibody, HPS1 antibody, HPS1_HUMAN antibody, MGC5277 antibody

    UniProt

    Q92902
You are here: