电话:
+86 (0512) 65829739
传真:
+86 (010) 6788 5057
电子邮件:
orders@antibodies-online.cn

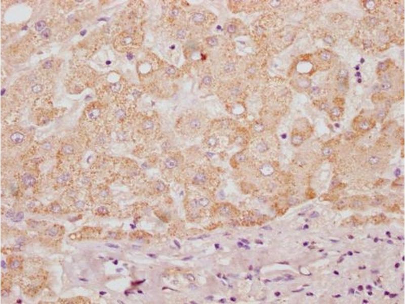
HS3ST3B1 抗体 (AA 54-390)

This 兔 多克隆 antibody specifically detects HS3ST3B1 in ELISA 和 IHC. It exhibits reactivity toward 人.
产品编号 ABIN7155014
发货至: 中国
Contact our Customer Service for availability and price in your country. Contact Info

Our Local Distributor

中国
北京 101111
No. 88 KeChuang 6th Street
Beijing Economic Technological Development Area
Room 801-803
4A Biotech Co.,Ltd.
Tel +86 (0512) 65829739 传真 +86 (010) 6788 5057

Quick Overview for HS3ST3B1 抗体 (AA 54-390) (ABIN7155014)

抗原

See all HS3ST3B1 抗体
HS3ST3B1 (Heparan Sulfate (Glucosamine) 3-O-Sulfotransferase 3B1 (HS3ST3B1))

适用

  • 6
  • 1
  • 1
  • 1
  • 1
  • 1
  • 1
  • 1

宿主

  • 6

克隆类型

  • 6
多克隆

标记

  • 3
  • 1
  • 1
  • 1
This HS3ST3B1 antibody is un-conjugated

应用范围

ELISA, Immunohistochemistry (IHC)
  • 抗原表位

    • 3
    • 1
    • 1
    AA 54-390

    原理

    HS3ST3B1 Antibody

    纯化方法

    Protein G purified

    纯度

    >95 %

    免疫原

    Recombinant Human Heparan sulfate glucosamine 3-O-sulfotransferase 3B1 protein (54-390aa)

    亚型

    IgG
  • 应用备注

    Optimal working dilution should be determined by the investigator.

    限制

    仅限研究用
  • 状态

    Liquid

    缓冲液

    Preservative: 0.03 % Proclin 300
    Constituents: 50 % Glycerol, 0.01M PBS, pH 7.4

    储存液

    ProClin

    注意事项

    This product contains ProClin: a POISONOUS AND HAZARDOUS SUBSTANCE which should be handled by trained staff only.

    储存条件

    -20 °C,-80 °C

    储存方法

    Upon receipt, store at -20°C or -80°C. Avoid repeated freeze.
  • 抗原

    HS3ST3B1 (Heparan Sulfate (Glucosamine) 3-O-Sulfotransferase 3B1 (HS3ST3B1))

    别名

    HS3ST3B1

    背景

    Background: Sulfotransferase that utilizes 3'-phospho-5'-adenylyl sulfate (PAPS) to catalyze the transfer of a sulfo group to an N-unsubstituted glucosamine linked to a 2-O-sulfo iduronic acid unit on heparan sulfate. Catalyzes the O-sulfation of glucosamine in IdoUA2S-GlcNS and also in IdoUA2S-GlcNH2. The substrate-specific O-sulfation generates an enzyme-modified heparan sulfate which acts as a binding receptor to Herpes simplex virus-1 (HSV-1) and permits its entry. Unlike 3-OST-1, does not convert non-anticoagulant heparan sulfate to anticoagulant heparan sulfate.

    Aliases: Heparan sulfate glucosamine 3-O-sulfotransferase 3B1 (EC 2.8.2.30) (Heparan sulfate D-glucosaminyl 3-O-sulfotransferase 3B1) (3-OST-3B) (Heparan sulfate 3-O-sulfotransferase 3B1) (h3-OST-3B), HS3ST3B1, 3OST3B1 HS3ST3B

    UniProt

    Q9Y662

    途径

    Glycosaminoglycan Metabolic Process
You are here: