电话:
+86 (0512) 65829739
传真:
+86 (010) 6788 5057
电子邮件:
orders@antibodies-online.cn

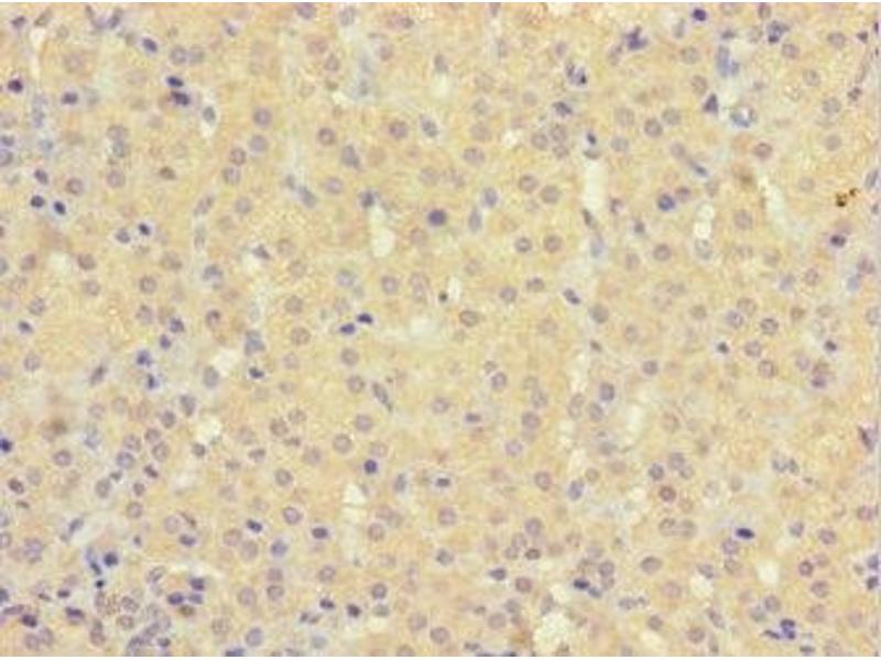
HEBP2 抗体 (AA 2-205)

The 兔 多克隆 anti-HEBP2 antibody (ABIN7154959) specifically detects HEBP2 in ELISA 和 IHC. The antibody is reactive with 人 samples.
产品编号 ABIN7154959
发货至: 中国
Contact our Customer Service for availability and price in your country. Contact Info

Our Local Distributor

中国
北京 101111
No. 88 KeChuang 6th Street
Beijing Economic Technological Development Area
Room 801-803
4A Biotech Co.,Ltd.
Tel +86 (0512) 65829739 传真 +86 (010) 6788 5057

Quick Overview for HEBP2 抗体 (AA 2-205) (ABIN7154959)

抗原

See all HEBP2 抗体
HEBP2 (Heme Binding Protein 2 (HEBP2))

适用

  • 29
  • 12
  • 3
  • 2
  • 1
  • 1
  • 1
  • 1
  • 1

宿主

  • 26
  • 3

克隆类型

  • 29
多克隆

标记

  • 13
  • 3
  • 3
  • 2
  • 1
  • 1
  • 1
  • 1
  • 1
  • 1
  • 1
  • 1
This HEBP2 antibody is un-conjugated

应用范围

  • 17
  • 13
  • 2
  • 1
  • 1
  • 1
  • 1
  • 1
  • 1
ELISA, Immunohistochemistry (IHC)
  • 抗原表位

    • 8
    • 4
    • 3
    • 2
    • 1
    • 1
    • 1
    • 1
    AA 2-205

    原理

    HEBP2 Antibody

    纯化方法

    Protein G purified

    纯度

    >95 %

    免疫原

    Recombinant Human Heme-binding protein 2 protein (2-205AA)

    亚型

    IgG
  • 应用备注

    Optimal working dilution should be determined by the investigator.

    限制

    仅限研究用
  • 状态

    Liquid

    缓冲液

    Preservative: 0.03 % Proclin 300
    Constituents: 50 % Glycerol, 0.01M PBS, PH 7.4

    储存液

    ProClin

    注意事项

    This product contains ProClin: a POISONOUS AND HAZARDOUS SUBSTANCE which should be handled by trained staff only.

    储存条件

    -20 °C,-80 °C

    储存方法

    Upon receipt, store at -20°C or -80°C. Avoid repeated freeze.
  • 抗原

    HEBP2 (Heme Binding Protein 2 (HEBP2))

    别名

    HEBP2

    背景

    Background: Can promote mitochondrial permeability transition and facilitate necrotic cell death under different types of stress conditions. Does not bind hemin.

    Aliases: C6orf34 antibody, Chromosome 6 open reading frame 34 antibody, Hebp2 antibody, HEBP2_HUMAN antibody, Heme binding protein 2 antibody, Heme-binding protein 2 antibody, Placental protein 23 antibody, PP23 antibody, Protein SOUL antibody, SOUL antibody

    UniProt

    Q9Y5Z4
You are here: