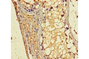
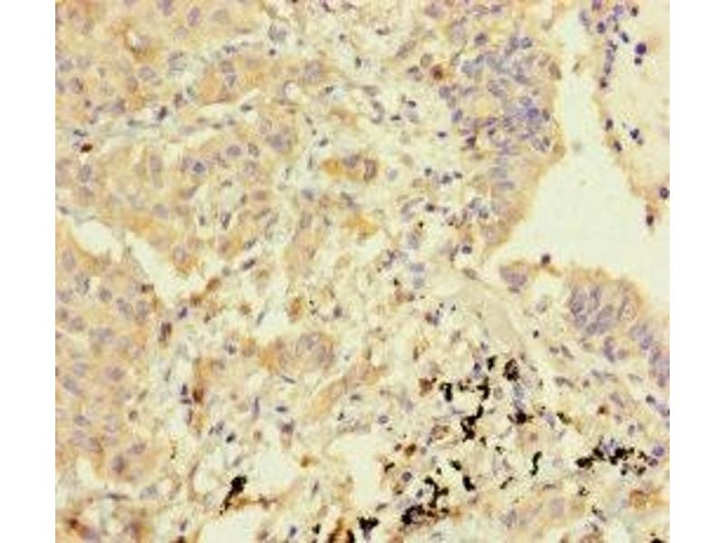
GBP6 抗体 (AA 401-600)
Our Local Distributor
北京 101111
Quick Overview for GBP6 抗体 (AA 401-600) (ABIN7154785)
抗原
See all GBP6 抗体适用
宿主
克隆类型
标记
应用范围
-
-
抗原表位
- AA 401-600
-
原理
- GBP6 Antibody
-
纯化方法
- Protein G purified
-
纯度
- >95 %
-
免疫原
- Recombinant Human Guanylate-binding protein 6 protein (401-600AA)
-
亚型
- IgG
-
-
-
-
应用备注
- Optimal working dilution should be determined by the investigator.
-
限制
- 仅限研究用
-
-
-
状态
- Liquid
-
缓冲液
-
Preservative: 0.03 % Proclin 300
Constituents: 50 % Glycerol, 0.01M PBS, PH 7.4 -
储存液
- ProClin
-
注意事项
- This product contains ProClin: a POISONOUS AND HAZARDOUS SUBSTANCE which should be handled by trained staff only.
-
储存条件
- -20 °C,-80 °C
-
储存方法
- Upon receipt, store at -20°C or -80°C. Avoid repeated freeze.
-
-
- GBP6 (Guanylate Binding Protein 6 (GBP6))
-
别名
- GBP6
-
背景
-
Background: Binds GTP, GDP and GMP.
Aliases: DKFZp686G0786 antibody, FLJ39135 antibody, GBP 6 antibody, GBP-6 antibody, GBP6 antibody, GBP6_HUMAN antibody, GTP binding protein 6 antibody, GTP-binding protein 6 antibody, Guanine nucleotide binding protein 6 antibody, Guanine nucleotide-binding protein 6 antibody, Guanylate binding protein 6 antibody, Guanylate binding protein family member 6 antibody, Guanylate-binding protein 6 antibody
-
UniProt
- Q6ZN66
-
途径
- Cellular Response to Molecule of Bacterial Origin
抗原
-