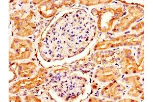
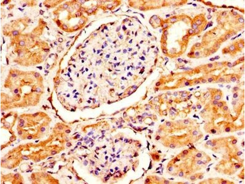
GUCA2B 抗体 (AA 37-112)
Our Local Distributor
北京 101111
Quick Overview for GUCA2B 抗体 (AA 37-112) (ABIN7154765)
抗原
See all GUCA2B 抗体适用
宿主
克隆类型
标记
应用范围
-
-
抗原表位
- AA 37-112
-
原理
- GUCA2B Antibody
-
纯化方法
- Protein G purified
-
纯度
- >95 %
-
免疫原
- Recombinant Human Guanylate cyclase activator 2B protein (37-112AA)
-
亚型
- IgG
-
-
-
-
应用备注
- Optimal working dilution should be determined by the investigator.
-
限制
- 仅限研究用
-
-
-
状态
- Liquid
-
缓冲液
-
Preservative: 0.03 % Proclin 300
Constituents: 50 % Glycerol, 0.01M PBS, PH 7.4 -
储存液
- ProClin
-
注意事项
- This product contains ProClin: a POISONOUS AND HAZARDOUS SUBSTANCE which should be handled by trained staff only.
-
储存条件
- -20 °C,-80 °C
-
储存方法
- Upon receipt, store at -20°C or -80°C. Avoid repeated freeze.
-
-
- GUCA2B (Guanylate Cyclase Activator 2B (Uroguanylin) (GUCA2B))
-
别名
- GUCA2B
-
背景
-
Background: Endogenous activator of intestinal guanylate cyclase. It stimulates this enzyme through the same receptor binding region as the heat-stable enterotoxins. May be a potent physiological regulator of intestinal fluid and electrolyte transport. May be an autocrine/paracrine regulator of intestinal salt and water transport.
Aliases: GUCA2B antibody, GCAP II antibody, GCAP-II antibody, Guanylate cyclase activator 2B (uroguanylin) antibody, Guanylate cyclase activator 2B antibody, Guanylate cyclase C-activating peptide II antibody, GUC2B_HUMAN antibody, GUCA2B antibody, UGN antibody, Uroguanylin antibody
-
UniProt
- Q16661
抗原
-