电话:
+86 (0512) 65829739
传真:
+86 (010) 6788 5057
电子邮件:
orders@antibodies-online.cn

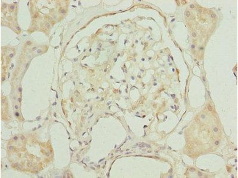
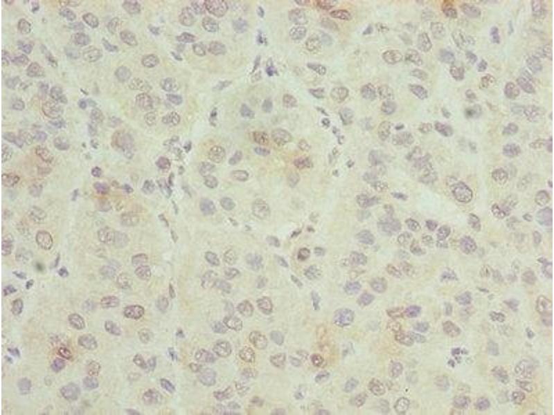
GNG5 抗体 (AA 2-65)

The 兔 多克隆 anti-GNG5 antibody is suitable to detect GNG5 in samples from 人. It has been validated for ELISA, IF 和 IHC.
产品编号 ABIN7154676
发货至: 中国
Contact our Customer Service for availability and price in your country. Contact Info

Our Local Distributor

中国
北京 101111
No. 88 KeChuang 6th Street
Beijing Economic Technological Development Area
Room 801-803
4A Biotech Co.,Ltd.
Tel +86 (0512) 65829739 传真 +86 (010) 6788 5057

Quick Overview for GNG5 抗体 (AA 2-65) (ABIN7154676)

抗原

See all GNG5 抗体
GNG5 (G Protein gamma 5 (GNG5))

适用

  • 20
  • 19
  • 5
  • 1
  • 1

宿主

  • 32
  • 2

克隆类型

  • 33
  • 1
多克隆

标记

  • 10
  • 3
  • 2
  • 2
  • 1
  • 1
  • 1
  • 1
  • 1
  • 1
  • 1
  • 1
  • 1
  • 1
  • 1
  • 1
  • 1
  • 1
  • 1
  • 1
  • 1
This GNG5 antibody is un-conjugated

应用范围

  • 13
  • 13
  • 13
  • 5
  • 5
  • 3
  • 3
  • 2
  • 1
ELISA, Immunofluorescence (IF), Immunohistochemistry (IHC)
  • 抗原表位

    • 15
    • 4
    • 3
    • 1
    • 1
    • 1
    • 1
    • 1
    • 1
    AA 2-65

    原理

    GNG5 Antibody

    纯化方法

    Protein G purified

    纯度

    >95 %

    免疫原

    Recombinant Human Guanine nucleotide-binding protein G(I)/G(S)/G(O) subunit gamma-5 protein (2-65AA)

    亚型

    IgG
  • 应用备注

    Optimal working dilution should be determined by the investigator.

    限制

    仅限研究用
  • 状态

    Liquid

    缓冲液

    Preservative: 0.03 % Proclin 300
    Constituents: 50 % Glycerol, 0.01M PBS, PH 7.4

    储存液

    ProClin

    注意事项

    This product contains ProClin: a POISONOUS AND HAZARDOUS SUBSTANCE which should be handled by trained staff only.

    储存条件

    -20 °C,-80 °C

    储存方法

    Upon receipt, store at -20°C or -80°C. Avoid repeated freeze.
  • 抗原

    GNG5 (G Protein gamma 5 (GNG5))

    别名

    GNG5

    背景

    Background: Guanine nucleotide-binding proteins (G proteins) are involved as a modulator or transducer in various transmembrane signaling systems. The beta and gamma chains are required for the GTPase activity, for replacement of GDP by GTP, and for G protein-effector interaction.

    Aliases: FLJ92393 antibody, GBG5_HUMAN antibody, Gng5 antibody, Guanine nucleotide-binding protein G(I)/G(S)/G(O) subunit gamma-5 antibody, OTTHUMP00000011474 antibody, OTTHUMP00000011565 antibody

    UniProt

    P63218

    途径

    Myometrial Relaxation and Contraction, SARS-CoV-2 Protein Interactome
You are here: