电话:
+86 (0512) 65829739
传真:
+86 (010) 6788 5057
电子邮件:
orders@antibodies-online.cn

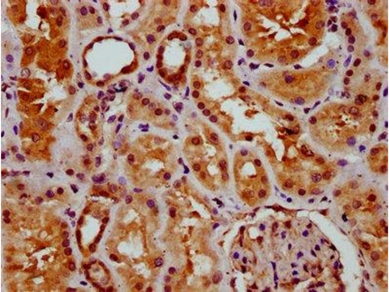
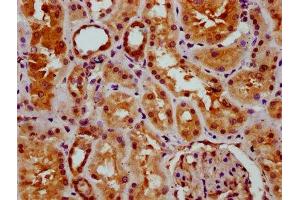
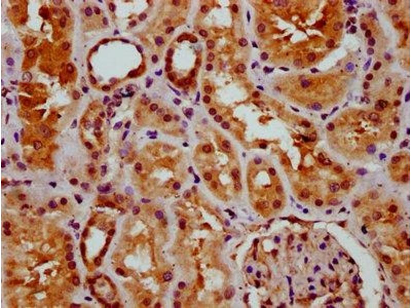
GSX2 抗体 (AA 15-118)

The 兔 多克隆 anti-GSX2 antibody (ABIN7154569) specifically detects GSX2 in ELISA 和 IHC. The antibody is reactive with 人 samples.
产品编号 ABIN7154569
发货至: 中国
Contact our Customer Service for availability and price in your country. Contact Info

Our Local Distributor

中国
北京 101111
No. 88 KeChuang 6th Street
Beijing Economic Technological Development Area
Room 801-803
4A Biotech Co.,Ltd.
Tel +86 (0512) 65829739 传真 +86 (010) 6788 5057

Quick Overview for GSX2 抗体 (AA 15-118) (ABIN7154569)

抗原

See all GSX2 抗体
GSX2 (GS Homeobox 2 (GSX2))

适用

  • 21
  • 6
  • 5
  • 4
  • 4
  • 4
  • 4
  • 3
  • 3
  • 2
  • 2
  • 2

宿主

  • 20
  • 1

克隆类型

  • 21
多克隆

标记

  • 13
  • 2
  • 2
  • 2
  • 1
  • 1
This GSX2 antibody is un-conjugated

应用范围

  • 17
  • 13
  • 2
  • 1
  • 1
  • 1
ELISA, Immunohistochemistry (IHC)
  • 抗原表位

    • 8
    • 3
    • 3
    • 2
    • 1
    • 1
    • 1
    AA 15-118

    原理

    GSX2 Antibody

    纯化方法

    Protein G purified

    纯度

    >95 %

    免疫原

    Recombinant Human GS homeobox 2 protein (15-118AA)

    亚型

    IgG
  • 应用备注

    Optimal working dilution should be determined by the investigator.

    限制

    仅限研究用
  • 状态

    Liquid

    缓冲液

    Preservative: 0.03 % Proclin 300
    Constituents: 50 % Glycerol, 0.01M PBS, pH 7.4

    储存液

    ProClin

    注意事项

    This product contains ProClin: a POISONOUS AND HAZARDOUS SUBSTANCE which should be handled by trained staff only.

    储存条件

    -20 °C,-80 °C

    储存方法

    Upon receipt, store at -20°C or -80°C. Avoid repeated freeze.
  • 抗原

    GSX2 (GS Homeobox 2 (GSX2))

    别名

    GSX2

    背景

    Background: During telencephalic development, causes ventralization of pallial progenitors and, depending on the developmental stage, specifies different neuronal fates. At early stages, necessary and sufficient to correctly specify the ventral lateral ganglionic eminence (LGE) and its major derivatives, the striatal projection neurons. At later stages, may specify LGE progenitors toward dorsal LGE fates, including olfactory bulb interneurons (By similarity). Transcription factor that binds 5\\\'-CNAATTAG-3\\\' DNA sequence.

    Aliases: GS homeobox 2 antibody, GSX2 antibody, GSX2_HUMAN antibody, Homeobox protein GSH 2 antibody, Homeobox protein GSH-2 antibody

    UniProt

    Q9BZM3
You are here: