电话:
+86 (0512) 65829739
传真:
+86 (010) 6788 5057
电子邮件:
orders@antibodies-online.cn

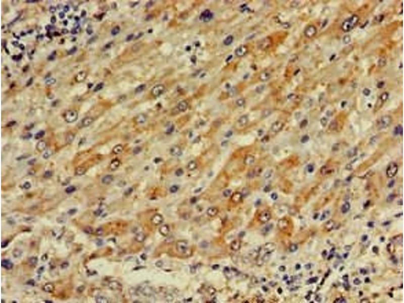
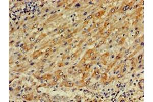
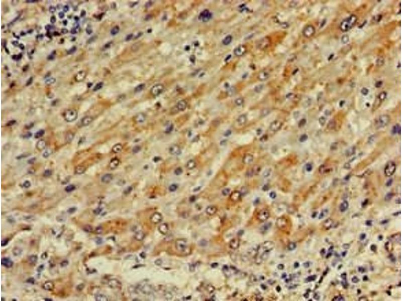
PLA2G10 抗体 (AA 43-165)

This 兔 多克隆 antibody specifically detects PLA2G10 in ELISA 和 IHC. It exhibits reactivity toward 人.
产品编号 ABIN7154456
发货至: 中国
Contact our Customer Service for availability and price in your country. Contact Info

Our Local Distributor

中国
北京 101111
No. 88 KeChuang 6th Street
Beijing Economic Technological Development Area
Room 801-803
4A Biotech Co.,Ltd.
Tel +86 (0512) 65829739 传真 +86 (010) 6788 5057

Quick Overview for PLA2G10 抗体 (AA 43-165) (ABIN7154456)

抗原

See all PLA2G10 抗体
PLA2G10 (Phospholipase A2, Group X (PLA2G10))

适用

  • 18
  • 1
  • 1

宿主

  • 14
  • 4

克隆类型

  • 16
  • 2
多克隆

标记

  • 12
  • 2
  • 2
  • 2
This PLA2G10 antibody is un-conjugated

应用范围

  • 10
  • 9
  • 4
  • 3
  • 2
  • 1
ELISA, Immunohistochemistry (IHC)
  • 抗原表位

    • 7
    • 4
    • 1
    • 1
    AA 43-165

    原理

    PLA2G10 Antibody

    纯化方法

    Protein G purified

    纯度

    >95 %

    免疫原

    Recombinant Human Group 10 secretory phospholipase A2 protein (43-165AA)

    亚型

    IgG
  • 应用备注

    Optimal working dilution should be determined by the investigator.

    限制

    仅限研究用
  • 状态

    Liquid

    缓冲液

    Preservative: 0.03 % Proclin 300
    Constituents: 50 % Glycerol, 0.01M PBS, pH 7.4

    储存液

    ProClin

    注意事项

    This product contains ProClin: a POISONOUS AND HAZARDOUS SUBSTANCE which should be handled by trained staff only.

    储存条件

    -20 °C,-80 °C

    储存方法

    Upon receipt, store at -20°C or -80°C. Avoid repeated freeze.
  • 抗原

    PLA2G10 (Phospholipase A2, Group X (PLA2G10))

    别名

    PLA2G10

    背景

    Background: PA2 catalyzes the calcium-dependent hydrolysis of the 2-acyl groups in 3-sn-phosphoglycerides. Has a powerful potency for releasing arachidonic acid from cell membrane phospholipids. Prefers phosphatidylethanolamine and phosphatidylcholine liposomes to those of phosphatidylserine.

    Aliases: Group 10 secretory phospholipase A2 antibody, Group X secretory phospholipase A2 antibody, GX sPLA2 antibody, GXPLA2 antibody, GXSPLA2 antibody, PA2GX_HUMAN antibody, Phosphatidylcholine 2 acylhydrolase GX antibody, Phosphatidylcholine 2-acylhydrolase 10 antibody, Phospholipase A2 group X antibody, PLA2G10 antibody, SPLA2 antibody, sPLA2-X antibody, sPLA2X antibody

    UniProt

    O15496

    途径

    Inositol Metabolic Process
You are here: