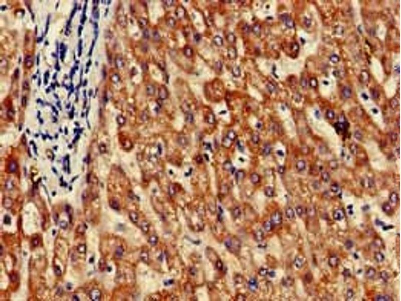
GRHPR 抗体 (AA 1-328)
Our Local Distributor
北京 101111
Quick Overview for GRHPR 抗体 (AA 1-328) (ABIN7154260)
抗原
See all GRHPR 抗体适用
宿主
克隆类型
标记
应用范围
-
-
抗原表位
- AA 1-328
-
原理
- GRHPR Antibody
-
交叉反应
- 小鼠, 大鼠
-
纯化方法
- Protein G purified
-
纯度
- >95 %
-
免疫原
- Recombinant Human Glyoxylate reductase/hydroxypyruvate reductase protein (1-328AA)
-
亚型
- IgG
-
-
-
-
应用备注
- Optimal working dilution should be determined by the investigator.
-
限制
- 仅限研究用
-
-
-
状态
- Liquid
-
缓冲液
-
Preservative: 0.03 % Proclin 300
Constituents: 50 % Glycerol, 0.01M PBS, pH 7.4 -
储存液
- ProClin
-
注意事项
- This product contains ProClin: a POISONOUS AND HAZARDOUS SUBSTANCE which should be handled by trained staff only.
-
储存条件
- -20 °C,-80 °C
-
储存方法
- Upon receipt, store at -20°C or -80°C. Avoid repeated freeze.
-
-
- GRHPR (Glyoxylate Reductase/hydroxypyruvate Reductase (GRHPR))
-
别名
- GRHPR
-
背景
-
Background: Enzyme with hydroxy-pyruvate reductase, glyoxylate reductase and D-glycerate dehydrogenase enzymatic activities. Reduces hydroxypyruvate to D-glycerate, glyoxylate to glycolate oxidizes D-glycerate to hydroxypyruvate.
Aliases: GLXR antibody, glycerate 2 dehydrogenase antibody, GLYD antibody, Glyoxylate reductase/hydroxypyruvate reductase antibody, Grhpr antibody, GRHPR_HUMAN antibody, OTTHUMP00000021379 antibody, OTTHUMP00000021380 antibody, OTTHUMP00000046131 antibody, PH 2 antibody, PH2 antibody, Primary hyperoxaluria type 2 antibody
-
UniProt
- Q9UBQ7
抗原
-